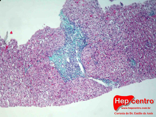
Publicada 5 de outubro de 2018 com 500 × 375 em Avaliação hepática inicial Curtir Carregando... ‹ Retornar para o post Deixe um comentário Cancelar resposta Δ