Dr. Emilio Augusto Campos Pereira de Assis
Para interpretar corretamente os achados morfológicos o patologista e o clínico devem associar os achados morfológicos da histologia com os dados clínicos e laboratoriais (a seguir por vezes há o comentário a respeito dos valores considerados normais, eles são para fins acadêmicos retirados da observação diária, e podem ser diferentes de acordo com o método laboratorial usado. Para interpretação do caso de um paciente deve ser levado em conta os valores de referência do laboratório que realizou o exame).
INTRODUÇÃO
Pode-se categorizar as alterações hepáticas de maneira simplista em agudas e crônicas e, de acordo com a origem, como doença hepatocelular ou do trato biliar. Para isso leva-se em conta o quadro clínico (tempo de evolução, sintomas, etc.) e os achados laboratoriais (quais enzimas estão alteradas e em quanto).
A seguir vamos comentar sobre como categorizar e encaminhar uma investigação de um paciente com comprometimento hepático.
PATOLOGIA
Chamamos de histologia o estudo dos tecidos. Apesar dos avanços tecnológicos nas últimas décadas e o surgimento de técnicas avançadas de imagem e biologia molecular, o diagnóstico e decisões pertinentes ao tratamento de doenças do fígado ainda depende da análise morfológica do tecido hepático.
Nos últimos anos, o enfoque da histologia mudou – antes, era concentrada no diagnóstico, agora ela busca trazer informações sobre a integridade estrutural, o tipo e grau de injúria e a resposta do organismo à injúria, sendo necessário para isso além da morfologia convencional, técnicas especiais de histoquímica (coloração de Gomory e Sirius-red para avaliar a fibrose, e Perl´s para avaliação de depósito de ferro, além de PAS, com e sem diástase e retículo por ex.). Com isso a avaliação da histologia traz informações que dão a base ao estadiamento da doença e à monitorização do tratamento, incluindo transplante.
A biópsia hepática é um procedimento invasivo que requer médico experiente e bem treinado na técnica em que utiliza. A maioria das biópsias é realizada em pacientes internados, mas pode também ser realizada ambulatorialmente em pacientes selecionados, com baixíssimo risco de complicações.
A técnica mais utilizada é a percutânea (pela pele) às cegas, mas cada vez se usa mais a técnica guiada por ultra-som ou tomografia, que é particularmente útil nos casos em que o fígado é pequeno ou é necessária biópsia de uma lesão focal, como um tumor. Outras técnicas incluem a via torácica transpulmonar quando é necessária coleta de material subdiafragmático, a via transvenosa (femoral ou jugular) nos casos de coagulopatia e a via cirúrgica.
As agulhas utilizadas podem ser de corte ou aspiração e de vários calibres (preferencialmente uma de gauge 12-14). Apesar das agulhas aspirativas de fino calibre serem suficientes para histologia e citologia de tumores, quando o objetivo é a análise estrutural do tecido é necessária uma amostra maior. Mesmo assim, espécimes colhidos por agulhas representam apenas cerca de 1/50.000 do órgão, que pode ter níveis diferentes de atividade e acometimento da doença dependendo da região, levando a uma avaliação errônea. Na hepatite, a região mais superficial, abaixo da cápsula, costuma apresentar mais fibrose, levando a um diagnóstico pior que o real. Na cirrose, o parênquima no interior de um nódulo pode ser normal, levando a um diagnóstico erroneamente otimista. A maioria das lesões do fígado, no entanto, é difusa e tende a ser homogênea. Quanto ao tamanho da amostra depende muito da indicação da biópsia, de modo geral uma biópsia satisfatória para análise deve ter entre 10-20 tratos portais (o que se traduz em cm para 1,5-3,5 cm).
Indicações de biópsia:
- Alterações em testes de função hepática sem correlação clínica
- Febre de origem desconhecida
- Desordens sistêmicas metabólicas ou inflamatórias
- Estadiamento de doenças crônicas
- Avaliação de hepatotoxicidade
- Tumores
- Hepatomegalia sem alteração (ou com alteração mínima) de função
Um fígado é composto por inúmeras unidades básicas chamadas lóbulos hepáticos, ele (o lóbulo hepático) é organizado formando uma estrutura similar a um hexágono, sendo que em cada vértice encontramos uma estrutura chamada trato portal, que é composta por um ramo da veia porta, um ramo da artéria hepática e um ramo de um ducto biliar, estas estruturas se apóiam em um tecido conjuntivo, e no centro do hexágono existe uma veia, chamada de veia centro lobular.
Entre o trato portal e a veia centro lobular estão as células do parênquima hepático, os hepatócitos. Os hepatócitos possuem vários papéis no metabolismo do ser humano, atuando como um dos principais responsáveis pela metabolização de uma série de substâncias (alimentos, medicamentos etc.) e eles são divididos por zonas, de acordo com sua relação com o trato portal e a veia centro lobular, os que estão em volta do trato portal são os hepatócitos da zona 1, os que estão em volta da veia central são os da zona 3, e os que ficam no meio são os da zona 2. Esta divisão é importante, pois por conta da localização dos hepatócitos as alterações sofridas por eles tem significados diferentes na interpretação final.
Entre os hepatócitos existem capilares chamados de sinusóides, que se unem para formar a veia centro lobular, dentro deles, além das células endoteliais (que revestem todos os vasos) existem macrófagos especializados chamados células de Kupffer.

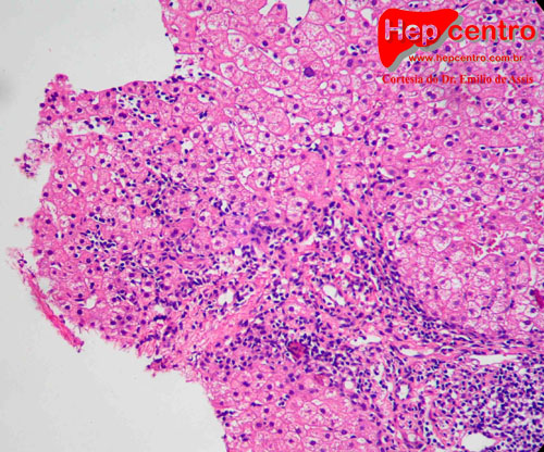
Foto 1
A análise de uma biópsia hepática busca avaliar estas estruturas, se estão alteradas, sendo agredidas, e a resposta à agressão, que varia de acordo com o tipo de agressão, sua intensidade e de indivíduo para indivíduo.
As alterações básicas que são vistas podem ser classificadas em agudas e crônicas, da seguinte maneira:
- Inflamação panlobular: Intenso infiltrado inflamatório lobular difuso, normalmente associado à necrose.
- Degeneração hidrópica (ou balonização): Quando há diminuição da quantidade de ATP´s os canais de Na+ / K+ ficam prejudicados, o que leva a um excesso de H20 para o citossol.
- Apoptose de hepatócitos: Morte celular programada desencadeada por um estímulo (externo ou interno à célula, drogas, toxinas, inflamação etc.)
- Linfocitose / Dilatação sinusoidal: Isto acontece quando o afluxo nos capilares é maior que o normal, o que pode ser por uma obstrução dos vasos (por fibrose, por exemplo) ou por um aporte maior neles (em infecções por EBV com esplenomegalia ou em neoplasias por ex.)
- Regeneração: Ao sofrerem qualquer tipo de agressão os hepatócitos se regeneram, e podem assumir alguns padrões, como o pseudoacinar (imitando uma formação de glândula)
- Hipertrofia de células de Kupffer: Ao processarem muitas substâncias (dejetos celulares, nutrientes, medicamentos, etc.) os macrófagos podem ficar hipertrofiados.
Existem ainda outros padrões como hepatite neonatal (onde se vêem células gigantes), hepatite colestática (onde há o acúmulo de bile nos hepatócitos), hepatite com necrose maciça ou submaciça (estes últimos são um risco de vida, pois devido à falência hepática se instalar rapidamente em muitos casos não há tempo hábil para se tomar as medidas cabíveis).
Alterações crônicas (algumas vezes são observadas alterações agudas em doenças crônicas, que são resultado de atividade da doença), de maneira resumida, as alterações gerais de hepatite crônica são as seguintes:
- Inflamação portal: Em todas as formas de hepatites crônicas há um infiltrado inflamatório portal, que muda o padrão de acordo com a doença de base: (1) HCV – observa-se um infiltrado inflamatório portal composto por linfócitos formando folículos linfóides; (2) HAI – observa-se um infiltrado inflamatório portal com a presença de plásmócitos (eles não são exclusivos de doenças autoimunes, entretanto sua presença é um marcador morfológico sugestivo dela); (3)Resposta à hepatotoxicidade – observa-se um padrão misto com predomínio de linfócitos (pode se ter raros plasmócitos) e a presença de eosinófilos.
- Agressão aos ductos: Mesmo todas as hepatites possuindo infiltrado portal, poucas vezes é visto agressão aos ductos biliares, e ao se ver pode ser indicativo de uma afecção específica: (1) Cirrose biliar primária – muito variável observando-se degeneração hidrópica, com hiperplasia do epitélio e proliferação ductular; (2) Colangite esclerosante – irregularidade e atrofia do epitélio, com parcial obliteração do lúmen; (3) Resposta a hepatotoxicidade – agressão inflamatória de granulócitos, com obliteração do lúmen; (4) HCV – degeneração hidrópica do epitélio; (5) Resposta à hepatotoxicidade – os ductos também podem estar agredidos neste caso, e por vezes apresenta-se com quadro de ductopenia.
- Hepatite de interface (piecemeal necrosis ou necrose em sacabocado): É chamado desta maneira quando o infiltrado inflamatório portal (qualquer que seja ele, e em qualquer doença) sai de dentro do trato portal e passa a agredir os hepatócitos no lóbulo hepático. Como a esteatose, é completamente inespecífica, podendo ser vista em todas as afecções.

Hepatite de interface
- Injúria ao parênquima: É quando os hepatócitos são agredidos (normalmente por inflamação) e se alteram de alguma maneira, os padrões que se observam são similares aos de doenças agudas (regeneração, degeneração hidrópica e necrose são as mais comuns): (1) Esteatose – Vale a pena destacar a esteatose, uma alteração extremamente comum em fígados, que pode ser resultado de uma dieta com excesso de gordura (mas sem ser uma doença propriamente dita), uma agressão por vírus da hepatite ou por substâncias tóxicas (como o álcool, por exemplo) – é o acúmulo de triglicérides e colesterol dentro dos hepatócitos; (2) Núcleos glicogenados – é o acúmulo de glicogênio dentro dos núcleos, pode ser resultado de uma esteatose hepática, de uma resposta a uma injúria hepatotóxica (como intoxicação por metais pesados, visto na Doença de Wilson); (3) Corpúsculos de Mallory – são condensações grosseiras de proteínas do citoesqueleto da célula, normalmente são vistos em hepatócitos na zona 3 em agressão ao fígado por álcool, mas podem ser visualizados em outras situações; (4) Hepatócitos em vidro fosco – em algumas situações pode haver um acúmulo de material protéico no citoplasma, conferindo ao hepatócito um aspecto em vidro fosco. É comumente visto na HBV (sendo um sinal de acúmulo do HBsAg e, portanto, um sinal indireto de atividade) e em hepatotoxicidade.

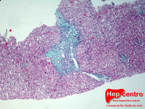
Fibrose grau 2 (em azul)
- Fibrose: Após a agressão, o fígado começa a se regenerar, e quando isso acontece, há uma substituição dos hepatócitos agredidos/mortos (necrosados) por fibrose, dependendo do tempo, intensidade e da extensão da agressão, esta fibrose pode ser reversível, ou então ela pode progredir e formar septos: fibrose grau 1: expansão portal sem septos; fibrose grau 2: fibrose portal com emissão de septos finos/incompletos ou septo atravessando toda a espessura da amostra; fibrose grau 3: fibrose portal com emissão de septos completos; fibrose grau 4/cirrose: fibrose portal com emissão de septos que formam nódulos no parênquima; existem ainda situações que podem gerar um padrão de fibrose característico, como a CEP que apresenta uma fibrose em “casca de cebola”, e na esquistossomose com a Fibrose de Symmers (um padrão de fibrose periportal com neoformação vascular)
- Atividade inflamatória: a graduação da atividade inflamatória depende se há ou não hepatite de interface, se há ou não focos de inflamação lobular (células inflamatórias no meio do lóbulo hepático), da sua extensão e distribuição.
| Adaptado de An Algorithm for the Grading of Activity in Chronic Hepatitis C | ||
| Característica histológica | Status | Escore |
| Hepatite de interface | Ausente | 0 |
| Discreta | 1 | |
| Moderada | 2 | |
| Acentuada | 3 | |
| Atividade lobular | Ausente/discreta | 0 |
| Moderada | 1 | |
| Acentuada | 2 | |
| Infiltrado portal | Habitual | 0 |
| Discreto | 1 | |
| Moderado | 2 | |
| Acentuado | 3 | |
| Necrose em ponte | Presente | |
| Ausente | ||

- Depósito de metais pesados: existem algumas condições em que há o depósito de metais no fígado, os mais comuns são: ferro, siderose hepática (na hemocromatose, ou reacional em situações inflamatórias como na hepatite C, ou ainda em pacientes com transplantes de rim); cobre, na Doença de Wilson.
Depois de se analisar a morfologia, com o auxílio das técnicas histoquímicas, as características encontradas são lançadas em algoritmos específicos para o estadiamento de cada doença (por ex. em casos de hepatite C aplica-se o METAVIR, para esteatoepatite classificação de doenças gordurosas hepáticas da Sociedade Brasileira de Patologia), com isso tem-se uma avaliação da gravidade e extensão da doença, e por vezes até elucidação diagnóstica (com achados morfológicos atuando como o fiel da balança junto com as características laboratoriais e clínicas).
A gama limitada de reações morfológicas vistas na histologia hepática exige correlação estreita com todos os dados disponíveis de história clínica, exames laboratoriais e de imagem para melhor correlação e interpretação dos achados, que devem ser confrontados com as suspeitas do hepatologista. Apesar de nem sempre ser conclusiva, os melhores resultados da histologia hepática são observados quando o conjunto da história clínica, investigação laboratorial e de imagem, avaliação por hepatologista, técnica correta de coleta e patologista experiente estão em harmonia.

MEDICINA LABORATORIAL
Para a análise inicial deve se levar em conta os níveis de AST (TGO), ALT (TGP), fosfatase alcalina, gama glutamil transferase, bilirrubina, atividade de protrombina e por vezes de albumina. Estes dados, juntamente com a clínica ajudam a categorizar (se é uma doença hepatocelular ou do trato biliar) e a classificá-la (aguda ou crônica).
Aminotransferases – AST (TGO) e ALT (TGP) < 40 U/L
- AST e ALT = 500-1000 ou maior: hepatite aguda; hepatite fulminante; isquemia; passagem de cálculo biliar
- AST = ALT = 70-250: hepatite crônica
- AST = ALT = aprox. 400: exacerbação (atividade) de hepatite crônica
- AST > ALT (<300): esteatoepatite alcoólica (ASH)
- AST < ALT (<300): doença gordurosa do fígado (NASH)
| Fatores que alteram os valores de AST e ALT, além de injúria hepática | ||
| Fator | AST | ALT |
| Período | Sem alteração | Mais alto durante a tarde e mais baixo durante a noite (pode chegar a variar em 45%) |
| Variação diária | Variação entre 5 e 10% | Variação entre 10% e 30% |
| Raça/sexo | Normalmente 15% mais elevada em pacientes negros. | Sem alteração |
| Refeição | Sem alteração | |
| Exercício | Aumento com exercícios extenuantes (em até 3X) | 20% mais baixo em pacientes com atividade física regular |
| Anemia hemolítica | Aumento expressivo | Aumento moderado |
| Dano muscular | Aumento expressivo | Aumento moderado |
| Obesidade | Aumento de 40-50% em pacientes obesos (aumenta de acordo com o peso) | |
Fosfatase alcalina (normal < 110 U/L)
- FA. 1,5 x . ou maior, ISOLADA (sem elevação de bilirrubinas): infiltração do fígado (metástases, doenças granulomatosas, tumores primários, etc.)
- FA + aumento de bilirrubinas: icterícia obstrutiva
- FA + dislipidemia: colestase crônica
- Deve-se correlacionar o aumento da FA, ser de origem hepática relacionando-a com os níveis de GGT -valores normais: 8 a 41 U/L (mulheres) e 12 a 73 U/L (homens) – (elevação da GGT isolada, sem aumento da FA pode significar intoxicação aguda, álcool ou medicamentos)
| Fatores que alteram os valores de FA e GGT, além de injúria hepática | ||
| Fator | FA | GGT |
| Variação diária | Variação entre 5 e 10% | Variação entre 10% e 15% |
| Raça/sexo | Normalmente de 10-15% mais elevada em pacientes negros. | Pode estar aumentada significativamente em pacientes negros |
| Refeição | Pode aumentar em até 30 U/L | Diminui após a refeição e aumenta com o passar do tempo |
| Exercício | Sem alteração | Sem alteração |
| Anemia hemolítica | Inibe a atividade enzimática | Aumento moderado |
| Tabagismo | Aumento de 10% | Aumento de 10% (pode chegar até o dobro se for tabagista pesado) |
| Obesidade | Aumento de 25% em pacientes obesos | Aumento de 40-50% em pacientes obesos e aumento de cerca de 25% com sobrepeso |
| Contraceptivos orais | Redução de 20% | Sem alteração |
| Outros | Doenças ósseas – enterite severa | Aumento com consumo de álcool, anticonvulsionante, furosemida e contraceptivo oral (entre outras) |
| Gravidez | Aumento em 2 ou 3X no terceiro trimestre. | Redução de 25% no início da gravidez. |
Bilirrubina
- Os valores de bilirrubina podem estar alterados basicamente em duas situações, deficiência da excreção desta (aumento da direta), ou problemas de remoção dela da circulação ou da produção (indireta)
- Aumento da bilirrubina conjugada (direta) é indicativo de afecção dos ductos biliares, estando aumentada também em pacientes com SRIS, nutrição parenteral e em pós-operatório imediato
| Fatores que alteram os valores de bilirrubina, além de injúria hepática | |
| Fator | Alteração |
| Variação diária | Variação entre 15 e 30% |
| Raça/sexo | Normalmente de 15- 33% mais baixa em pacientes negros. |
| Refeição | Pode aumentar em até 2X com jejum |
| Exercício | Aumento de cerca de 30% (em homens, sem variação significativa em mulheres) |
| Anemia hemolítica | Aumento da bilirrubina não conjugada (indireta) |
| Tabagismo | Aumento de 10% |
| Obesidade | Aumento de 25% em pacientes obesos |
| Contraceptivos orais | Redução de 15% |
| Gravidez | Redução de 30% no segundo e/ou terceiro trimestre. |
Albumina
- Albumina é a proteína plasmática mais abundante produzida por hepatócitos, a atividade de produção desta tem vários fatores que podem influenciar (dieta, aporte de proteína, atividade física, processos inflamatórios, etc.). Normalmente quando há aumento desta é devido a hemoconcentração, enquanto que a queda pode ser devido a perda (síndrome nefrótica, grandes queimados, enteropatias), aumento do turnover (estado catabólico, corticóides), diminuição de ingesta (desnutrição) e doenças hepáticas (com redução brusca na hepatite aguda, e gradual na crônica, conforme há a progressão para cirrose)
Protrombina
- O tempo de protrombina é o tempo que leva para a formação do coágulo. Abaixo vemos um esquema da cascata de coagulação:

- Os fatores X, VII, V, II (protrombina) e I (fibrinogênio) são produzidos no fígado, e o II, VI e X são ativados por uma enzima dependente da vitamina K.
- O tempo é reportado em segundos e normalmente esta entre 11 e 13 segundos.
Sorologia viral
- HAV – Vírus de RNA com transmissão oral-fecal, com injúria hepática após período de incubação de apenas algumas semanas, e em caso de suspeita deve se solicitar o IGM anti-HAV, que permanece detectável entre 3-6 meses. A grande maioria dos casos possui uma resolução espontânea, porém podem evoluir como icterícia persistente.

- HBV – Vírus de DNA com transmissão por fluidos corpóreos (sangue, transmissão sexual, e transmissão vertical) depois de 2-3 meses de exposição o paciente começa a apresentar os sintomas (que inicialmente começam com elevação da ALT) e a maioria dos casos evolui para cura.


- Nos casos de suspeita deve se pedir a sorologia específica, que nem sempre é simples de se interpretar.
|
Sorologia de HBV |
|||||
| Marcador | Incubação | Infecção aguda | Infecção passada | Infecção Crônica | Vacinação |
| HBsAg | + | + | – | + | – |
| HBeAg | + | + | – | + (se ativa) / – | – |
| HBV DNA | + | + | – | + / – | – |
| Anti-HBc | + / – | ||||
| IgM | – | + | – | + / – | – |
| Total | – | + | + | + | – |
| Anti-HBe | – | – | + / – | + / – (normalmente ou este ou o HBeAg são positivos) | – |
| Anti-HBs IgG | – | – | + | + / – | + |
- Resultados que requerem continuação da investigação: (1) HBsAg positivo/Anti-HBc negativo; (2) HBsAg, anti-HBs, and anti-HBc positivo; (3) Anti-HBc positivo isolado; (4) Anti-HBs positivo em paciente não imunizado; (5) HBsAg negativo/HBeAg positivo; (6) Positivo for HBeAg and anti-HBe; (7) Total anti-HBc negativo/IgM anti-HBc positivo
- HCV – Vírus de RNA com transmissão por sangue (transfusão, compartilhamento de agulhas, seja por tatuagem ou por droga adicção), normalmente em 80 dias após a exposição há positividade para o anti-HCV(pode variar de um a quatro meses).
|
Fatores prognósticos favoráveis |
| Genótipo 2 ou 3 |
| Carga viral < 3,5X 106 cópias/ml |
| Sexo feminino |
| Menos que 40 anos |
| F0 ou F1 |
| Fatores prognósticos desfavoráveis |
| Genótipo 1,4,5 e 6 |
| Carga viral > 3,5X 106 cópias/ml |
| Sexo masculino |
| Mais que 40 anos |
| F3 ou F4 |


- HDV – vírus de RNA que replica somente na presença do HBsAg, na maioria das situações, HBsAg, IgM anti-HBc, e anti-HDV total, são suficientes para diagnóstico. É uma infecção rara em nosso meio.

(retirado de hdv genotypes in the western brazilian amazon region: a preliminary report)
- HEV – vírus RNA de transmissão orofecal, que causa hepatite aguda, distribuição geográfica limitada a zonas endêmicas (Eurásia principalmente e região norte no Brasil), com alta mortalidade em mulheres grávidas.

(retirado de ABC OF LIVER, PANCREAS AND GALL BLADDER)
Autoanticorpos
- Cirrose biliar primária: anticorpo antimitocôndria
- Colangite esclerosante primária: pANCA (apesar de não ser específico e a ausência não excluir)
- Hepatite autoimune. Tipo 1: anticorpo antinuclear (ANA ou FAN) e anticorpo antimúsculo liso (ASMA); o FAN possui padrões de positividade que, apesar de não serem específicos, podem ajudar a direcionar a investigação; uma titulação de 1:80 pode ser visto em pacientes normais; os padrões de FAN podem ser nucleares, nucleolares, relacionados ao aparelho mitótico ou citoplasmáticos. Tipo 2: anticorpo antimicrossomal. Tipo 3: anticorpo anti-SLA
| PADRÕES | RELEVÂNCIA CLÍNICA POR AUTO-ANTICORPOS |
| Nuclear pontilhado centromérico | Anticorpo anti-centrômero (proteínas A, B e C). Esclerose Sistêmica forma CREST (calcinose, fenômeno de Raynaud, disfunção motora do esôfago, esclerodactilia e telangiectasia). Cirrose Biliar Primária |
| Nuclear homogêneo | Anticorpo anti-DNA nativo. Marcador de Lúpus Eritematoso Sistêmico
Anticorpo anti-Histona. Marcador de Lúpus Eritematoso Sistêmico induzido por drogas. Lúpus Eritematoso Sistêmico idiopático Anticorpo anti-cromatina (DNA/Histona, nucleossomo) Artrite Reumatóide. Artrite Idiopática Juvenil, importante associação com uveíte na forma oligoarticular. Síndrome de Felty. Cirrose Biliar Primária |
| Nuclear tipo membrana nuclear contínua | Anticorpo anti-lamina e contra componentes antigênicos do envelope nuclear – laminas. Hepatites auto-imunes. Raramente associado a doenças reumáticas – algumas formas de LES e esclerodermia linear. Raramente associado à síndrome dos anticorpos antifosfolípides |
| Nuclear pontilhado pleomórfico/PCNA
|
Anticorpo contra núcleo de células em proliferação
Encontrado especificamente em pacientes com Lúpus Eritematoso Sistêmico. |
| Nuclear pontilhado fino denso | Anticorpo anti-proteína p 75 kDa (cofator de transcrição)
É um dos padrões mais freqüentemente encontrados na rotina, cuja correlação clínica ainda não está bem estabelecida, podendo ser encontrado em indivíduos saudáveis. Anticorpo com especificidade para proteína de 75 kDa, encontrado em doenças reumáticas auto-imunes, mas com maior freqüência em processos inflamatórios específicos e inespecíficos. Existem relatos na literatura do encontro deste padrão em pacientes com Cistite Intersticial, Dermatite Atópica, Psoríase e Asma. |
| Nuclear pontilhado tipo pontos isolados com menos de dez pontos | Anticorpo anti-p80 coilina
É um padrão que não tem associação clínica definida. |
| Nuclear pontilhado tipo pontos isolados com mais de dez pontos | Anticorpo anti-Sp100 (anti-p95)
É descrito principalmente na Cirrose Biliar Primária, mas pode ser observado em diversas outras condições clínicas. |
| Nuclear pontilhado grosso | Anticorpo anti-Sm. Marcador para LES
Anticorpo anti-RNP. Critério obrigatório no diagnóstico da Doença Mista do Tecido Conjuntivo. Também presente no Lúpus Eritematoso Sistêmico, e menos freqüentemente Esclerose Sistêmica e Artrite Reumatóide. |
| Nuclear pontilhado fino | Anticorpo anti SS-A/Ro
Síndrome de Sjögren Primária, Lúpus Eritematoso Sistêmico, Lúpus neonatal (Bloqueio Átrio Ventricular e outras manifestações do Lúpus neonatal) e Lúpus Cutâneo Subagudo. Anticorpo anti SS-B/La Síndrome de Sjögren Primária, Lúpus Eritematoso Sistêmico, Lúpus neonatal (Bloqueio Átrio Ventricular e outras manifestações do Lúpus neonatal). |
| Nucleolar aglomerado | Anticorpo anti-Fibrilarina ( U3-nRNP)
Associado à Esclerose Sistêmica, especialmente com comprometimento visceral grave, entre elas a hipertensão pulmonar. |
| Nucleolar pontilhado | Anticorpo anti-NOR-90
Inicialmente descrito na Esclerose Sistêmica. Atualmente descrito em outras doenças do tecido conjuntivo, porém sem relevância clínica definida. Anticorpo anti-RNA polimerase I Esclerose Sistêmica de forma difusa com tendência para comprometimento visceral mais freqüente e grave. |
| Nucleolar homogêneo | Anticorpo anti-PM/Scl
Ocorre na Síndrome de Superposição da Polimiosite com Esclerose Sistêmica. Raramente encontrado em casos de Polimiosite ou Esclerose Sistêmica sem superposição clínica. Outros auto-anticorpos mais raros podem apresentar esse padrão. |
| Citoplasmático fibrilar linear | Anticorpo anti-actina
Encontrado em hepatopatias (Hepatite auto-imune, Cirrose) Anticorpo anti-miosina Hepatite C, Hepatocarcinoma, Miastenia Gravis. Quando em títulos baixos ou moderados podem não ter relevância clínica definida. |
| Citoplasmático fibrilar segmentar | Anti-a-actinina, anti-vinculina e anti-tropomiosina
Anticorpos encontrados na Miastenia Gravis, Doença de Crohn e Colite ulcerativa. Quando em títulos baixos ou moderados podem não ter relevância clínica definida. |
| Citoplasmático pontilhado polar | Anticorpo anti-golginas (cisternas do aparelho de Golgi)
Raro no Lúpus Eritematoso Sistêmico, Síndrome de Sjögren Primária e outras doenças auto-imunes sistêmicas. Relatado em Ataxia Cerebelar Idiopática, degeneração cerebelar paraneoplásica e infecções virais pelo vírus Epstein Barr (EBV) e pelo vírus da imunodeficiência Humana (HIV). Quando em títulos baixos ou moderados podem não ter relevância clínica definida. |
| Citoplasmático pontilhado fino | Anticorpo anti-Histidil t RNA sintetase (Jo1)
Anticorpo marcador de Polimiosite no adulto. Descrito raramente na Dermatomiosite. Outros anticorpos anti-tRNA sintetases podem gerar o mesmo padrão. |
| Citoplasmático pontilhado com pontos isolados | Anticorpo Anti-EEA1 e anti-fosfatidilserina
Não há associações clínicas bem definidas. Anticorpo anti-GWB Associado à Síndrome Sjögren Primária, embora observado também em diversas outras condições clínicas. |
| Citoplasmático pontilhado reticulado | Anticorpo anti-mitocôndria
Marcador da Cirrose Biliar Primária (M2), também visto na Esclerose Sistêmica. É relativamente comum o encontro deste padrão na ausência de anticorpos anti-mitocôndria. |
| Citoplasmático pontilhado fino denso | Anti PL7/PL12. Este padrão de fluorescência pode raramente estar associado a anticorpos encontrados na Polimiosite, como no caso do.
Anti-proteina P-ribossomal. Este padrão ocorre no lúpus eritematoso sistêmico se a associação é com anti-proteína P ribossomal. |
| Citoplasmático fibrilar filamentar | Anticorpo anti-Vimentina e anti-Queratina
Anti-queratina é o anticorpo mais importante em doença hepática alcoólica. Descritos em várias doenças inflamatórias e infecciosas. Quando em títulos baixos ou moderados podem não ter relevância clínica definida. |
| Aparelho mitótico tipo centríolo | Anticorpo anti-a-enolase
Em baixos títulos não tem associação clínica definida. Em altos títulos é sugestivo de Esclerose Sistêmica. |
| Aparelho mitótico tipo ponte intercelular | Anticorpo anti- b-tubulina
Podem ser encontrados no Lúpus Eritematoso Sistêmico e na Doença Mista do Tecido Conjuntivo. Outros anticorpos ainda não bem definidos podem gerar o mesmo padrão. |
| Aparelho mitótico tipo NuMa1 | Anticorpo anti-centrofilina ou NuMa1
Mais freqüentemente associado à Síndrome de Sjögren. Descrito também em diversas outras doenças auto-imunes. |
| Aparelho mitótico tipo NuMa2 | Anticorpo anti-HsEg5
Associado a diversas condições auto-imunes com baixa especificidade. |
| Padrão Negativo | Ocorre FAN negativo em 1% de pacientes com Lúpus Eritematoso Sistêmico (HEp-2). Nesta situação, os pacientes devem ser avaliados de acordo com a suspeita clínica, quanto à presença de anti-SS-A/Ro, anti-cardiolipina e anti-P ribossomal, que algumas vezes pode resultar em FAN negativo. |
HEPATITE AGUDA, CRITÉRIOS E AVALIAÇÃO INICIAL

|
Situações especiais de hepatite aguda |
|||
| Desordem | Fator de suspeição | Testes iniciais | Achados associados |
| Doença de Wilson | Paciente jovem, FA baixa, com bilirrubina alta | Ceruloplasmina baixa (em apenas 40%) | IRA e dosagem de cobre na urina |
| Hepatite autoimune | Mulheres jovens, GGT alta, albumina baixa | Anti-ANA e Anti-ASMA | História de doença autoimune |
| Hepatite E | Viagem à área endêmica | Anti-HEV | Similar a HAV |
| Outros vírus | Clínica de mononucleose | Anti-CMV e Anti-EBV | FA elevada |
HEPATITE CRÔNICA, CRITÉRIOS E AVALIAÇÃO INICIAL
As causas mais freqüentes de hepatite crônica são as virais, alcoólica e por hepatotoxicidade (medicamentos, chás etc.).
Deve-se considerar um, quadro como hepatite crônica quando:
- Elevação persistente de ALT por mais de 6 meses (importante durante a investigação tentar caracterizar se houve um episódio de hepatite aguda, e o período pode ser menor se o paciente tiver fator de riscos)
- Sinais e/ou sintomas de acometimento hepático.
- Biópsia mostrando alterações crônicas
Fatores de risco para hepatite crônica
- Usuário de drogas injetáveis
- Hemodiálise
- Transfusão sangüínea anterior a 1992
- Ancestral asiático (HBV)
- Trabalhadores de saúde
- Mãe portadora de hepatite viral
- Homossexualismo masculino
- Tatuagem e/ou piercing
- Múltiplos parceiros sexuais
- Diagnóstico de DST
- Contato íntimo com portadores de HBV e/ou HCV
Nos casos de hepatites crônicas o ALT normalmente estÁ mais elevado do que o AST, com exceção da esteatoepatite alcoólica. Em pacientes cirróticos o ALT pode ser normal e o AST pode estar elevado, bilirrubina e enzimas canaliculares normalmente não apresentam elevação, portanto não se prestam para o seguimento.
Em pacientes de risco mesmo que estes não apresentem alteração clínica devem ser investigados.
|
OUTRAS CAUSAS PARA HEPATITE CRÔNICA |
|||
| Doença | Suspeitar quando | Screening | Confirmação |
| Doença gordurosa não alcoólica | Acúmulo de triglicérides e colesterol por desvio metabólico na ausência de outras causas. | Clínico | Biópsia |
| Hemocromatose | Doença autossômica recessiva comum entre oriundos do norte da Europa | Saturação de transferritina > 45% | Pesquisa de mutação C282Y |
| Doença de Wilson | Doença autossômica recessiva.
Anemia hemolítica, injúria renal, |
Ceruloplasmina baixa | Pesquisa de cobre urinário, sérico, biópsia, dosagem de peso seco em tecido hepático (apesar de não ter um teste específico este hoje é considerado o goldstandart) e análise genética |
| Hepatite autoimune (cerca de 20% das hepatites crônicas não virais) | Mulheres jovens com elevação de globulinas. | FAN e ASMA | Biópsia (e somatório do escore) |
| Cirrose biliar primária | Mulheres de meia idade, com elevação de FA. | Anti-mitocôndria | Biópsia |
| Colangite esclerosante | Homens jovens e de meia idade, com elevação de FA, normalmente associado a DII | FAN e ASMA (apesar de não haver um teste específico e serem negativos não afasta) | Biópsia e Colangioressônancia |
| Alfa 1 -antitripsina | Doença autossômica recessiva, normalmente em pacientes pediátricos. | Biópsia com coloração de PAS e PAS-D | Teste do fenótipo de alfa-1-antitripsina |
Vale a pena destacar uma situação especial e não tão rara, as hepatites autoimunes. De maneira simplificada, do ponto de vista morfológico, deve-se suspeitar de hepatite autoimune quando há um infiltrado com presença de plasmócitos e hepatite de interface, e/ou quando há positividade para FAN e ASMA (quanto maior a titulação melhor). E depois de levantada a suspeita a paciente deve ser rastreada para as causas de hepatites crônicas acima listadas.
|
Critérios diagnósticos para HAI – adaptado de Diagnosis and Treatment of Autoimmune Hepatitis |
|||||
| Categoria | Fator | Pontuação | Categoria | Fator | Pontuação |
| Sexo | Feminino | +2 | Doença imune concomitante | Qualquer doença não hepática autoimune | +2 |
| FA/ALT (ou AST) | >3 | -2 | Outros anticorpos | Anti-SLA, pANCA, LC1, actina | +2 |
| <1,5 | +2 | Características histológicas | Hepatite de interface | +3 | |
| Gama-globulina ou IgG | > 2X | +3 | Plasmócitos | +1 | |
| 1,5-2 X | +2 | Rosetas (regeneração pseudoacinar) | +1 | ||
| 1-1,5X | +1 | Nenhuma das acima | -5 | ||
| <1 | 0 | Alterações biliares | -3 | ||
| ASMA, FAN ou anti LKM1 | >1:80 | +3 | Características atípicas | -3 | |
| 1:80 | +2 | Antígeno leucocitário humano | DR3 ou DR4 | +1 | |
| 1:40 | +1 | Resposta ao tratamento | Apenas remissão | +2 | |
| <1:40 | 0 | Remissão seguida de recidiva | +3 | ||
| AMA | positivo | -4 | Escore pré tratamento | ||
| Marcadores de atividade viral | Positivo | -3 | Diagnóstico definitivo | >15 | |
| Negativo | +3 | Diagnóstico provável | 10-15 | ||
| Drogas hepatotóxicas | Sim | -4 | |||
| Não | +1 | Escore pós tratamento | |||
| Álcool | <25g/d | +2 | Diagnóstico definitivo | >17 | |
| >60g/d | -2 | Diagnóstico provável | 12-17 | ||
|
Indicações para o tratamento da HAI (a indicação deve ser individualizada e alguns pacientes com fibrose avançada/cirrose podem não tolerá-lo bem). |
|
| Absolutos | Relativos |
| AST >10X | Fatiga, artralgia, icterícia |
| AST > 5X com gama-globulina > 2X | Elevação de AST e gama-globulina (em níveis inferiores ao do absoluto) |
| Necrose em ponte ou multiacinar | Hepatite de interface |
|
Avaliação de resposta – adaptado de Diagnosis and Treatment of Autoimmune Hepatitis |
|
| Situação | Critérios |
| Remissão | Ausência de sintomas |
| Normalização da sorologia | |
| Histologia normal ou com alterações mínimas SEM hepatite de interface | |
| Falha no tratamento | Piora clínica e/ou laboratorial e/ou histológica |
| Aumento das transaminases em 67% | |
| Surgimento de icterícia, ascite ou encefalopatia-hepática | |
| Resposta incompleta | Alguma, ou nenhuma melhora clínica e/ou laboratorial e/ou histológica |
| Falha em atingir remissão em 3 anos | |
| Toxicidade ao medicamento | Citopenia progressiva, osteopenia sintomática, instabilidade emocional, hipertensão de difícil controle, diabetes instável ou alterações cosméticas não toleráveis |
Outra situação que merece destaque é a hepatotoxicidade. Sendo que esta podemos dividir em dois tipos medicamentosa (incluindo fitoterápicos e chás) e por álcool (que possui um padrão morfológico muito similar ao da NASH). Com a lembrança de que lesões hepatotóxicas podem assumir aspecto de hepatites agudas.
Critérios histológicos para diagnóstico de hepatotoxicidade por medicamento:
- lesões zonais: tanto necrose como esteatose
- desproporção entre quadro clínico e grau de agressão: mais freqüente do que nas virais;
- desproporção entre o grau de lesão hepatocelular e o infiltrado inflamatório: mais freqüente do que nas virais
- esteatose: macro e/ou micro (mais micro, mais zonal, acompanhada de foco de necrose)
- infiltração glicogênica: geralmente acompanhada de multinucleação
- aspecto induzido do citoplasma de hepatócitos: RE-vidro fosco
- componente eosinofílico inflamatório: depende do tipo da droga (ausente nos casos de clorpromazina e sempre presentes nos casos fenintoína);
- colestase pura: peri-venulares (benigna recorrente familiar, na gravidez e nas causadas por estrógeno)
- colestases histológicas típicas: portais e periportais (uso crônico);
- granulomas
- lesões do epitélio dos ductos biliares: podendo ser causa de ductopenia
- lesões vasculares: geralmente doença veno-oclusiva
ESTEATOSE, ESTEATO HEPATITE ALCOÓLICA E NASH
A esteatose, como vimos acima é o acúmulo de triglicérides e colesterol em hepatócitos. A esteatose pode se organizar no fígado de duas maneiras a macrovacuolar (com um vacúolo central que desloca o núcleo, ou microvacuolar, com múltiplos vacúolos periféricos no citoplasma, com o núcleo central e com “endentações” neste). Normalmente elas se apresentam de maneira mista, podendo uma predominar sobre a outra.
|
Algumas condições associadas à esteatose |
|
| Macrovacuolar | Microvacuolar |
| Álcool | Síndrome de Reye |
| Obesidade | Hepatotoxicidade (tetraciclina por ex.) |
| Síndrome plurimetabólica | Doença gordurosa da gravidez |
| Corticosteróides | Doença de depósito |

Nesta os critérios morfológicos para diagnóstico são mais simples:
- Degeneração hidrópica
- Esteatose
- Fibrose perissunusoidal
Vale ressaltar que o diagnóstico de esteatoepatite não precisa de atividade inflamatória, e ao se associar o informe clínico (status do consumo de álcool, dislipidemia, obesidade, síndrome metabólica, etc.) com o aspecto morfológico a condição é então estadiada, e que apesar da esteatose associada a ela normalmente ser a do tipo macrovacuolar, a presença da microvacuolar (normalmente associada a presença de megamitocôndrias) é um indicativo de que aquele hepatócito não irá se regenerar completamente.
|
Critérios diagnósticos e classificação da Sociedade Brasileira de Patologia |
|||
|
Classificação |
Estadiamento |
||
| Esteatose simples | Esteatose | 0 | Sem fibrose |
| Esteatoepatite não alcoólica | Esteatose macrovacuolar | 1 | Fibrose perisinusoidal, limitada as áreas perivenulares (arquitetura lobular preservada) |
| Fibrose perisinusoidal | 2 | Fibrose perisinusoidal com finos septos esparsos(arquitetura lobular preservada) | |
| Balonização | 3 | Septos unindo estruturas vasculares entre si (esboço de nódulos) | |
| 4 | Arquitetura nodular (cirrose) | ||
DOENÇAS DO TRATO BILIAR, CRITÉRIOS E AVALIAÇÃO INICIAL
São muitas as afecções que acometem o trato biliar, e para uma classificação é necessário sempre correlação de laboratório e exames de imagem. Elas podem ser grosseiramente divididas em de ductos grandes e de ductos pequenos.
|
Desordens de ductos biliares |
|
|
Pequenos |
Grandes |
| Cirrose biliar primária | Litíase |
| Colangite esclerosante (primária ou secundária) | Estenose (incluindo da papila de Vater) |
| Ductopenia (hepatoxicidade) | Atresia |
| Colangite supurativa | Tumores (benignos e malignos) |
| Colangiopatia relacionada ao HIV | Pancreatites |
| GVHD | Doença de Caroli |
| Trombose portal | |
| Sarcoidose | |
| Infecções e neoplasias | |
As alterações não são patognomônicas, e devem ser sempre correlacionadas com exames laboratoriais e de imagem, em linhas gerais podemos classificar da seguinte maneira:
Lesões características de ductos pequenos
- Agressão aos ductos biliares
- Alterações regenerativas/degenerativas do epitélio ductal
- Redução numérica dos ductos biliares (obliteração ductal)
- Ductopenia (presença de menos que 50% nos tratos portais)
- Infiltrado linfoplasmocitário (podendo ter eosinófilos)
- Reação granulomatosa não caseosa
- Hiperplasia de células de Kupfer
- Fibrose periportal
- Fibrose periductal
Lesões características de ductos grandes
- Fibrose periportal
- Colatoestase
- Corpúsculos de Mallory em região periportal
- Plugues biliares
- Colestase intracanalicular na zona 3 (apenas nos primeiros dias do quadro)
- Hipertrofia de células de Kupffer
- Edema e leve proliferação fibroblastica no trato portal
- Infiltrado inflamatório é muito variável, no início apresenta um padrão linfo-histiocitário e posteriormente rico em neutrófilos.
- Atividade lobular limitada a zona 3
- Proliferação ductular
- Infartos biliares (raros)
TUMORES HEPÁTICOS, CRITÉRIOS E AVALIAÇÃO INICIAL
Para consideração de tumores hepáticos temos que levar em consideração inicialmente alguns fatores clínicos:
- História clínica prévia (tumor de cólon?)
- Sexo
- Idade
- Uso de medicamentos
- Doença hepática de base e seu estadiamento
- Aspecto radiológico
- Dosagem de alfa-feto-proteína
Desta maneira podemos dividir (academicamente) os tumores em:
|
Tumores em fígados não cirróticos |
Tumores em fígado cirrótico |
||
| BENIGNOS | |||
| Tumor | Características | Tumor | Características |
| Hiperplasia nodular focal | Mulheres jovens, sem condição clínica de base, lesão solitária, achado em exames de imagem ou durante cirurgia, alfa-feto proteína normal. Apresenta cicatriz central estrelada. | Nódulo regenerativo | Nódulo que se destaca em meio ao parênquima hepático em fígado já nodular (cirrótico). A avaliação da alfa-feto proteína é prejudicada pela cirrose. |
| Hiperplasia nodular regenerativa | Não há uma condição estabelecida, em alguns casos pode haver história de isquemia leve e/ou hipertensão portal | ||
| Adenoma | Mulheres em idade reprodutiva, uso de anticoncepcional oral, normalmente periférico e solitário. | Lesões pré-neoplásicas | Nódulo que se destaca em meio ao parênquima hepático em fígado já nodular (cirrótico). A avaliação da alfa-feto proteína é prejudicada pela cirrose. |
| Hemangioma | Tumor hepático mais comum (63%), não possui predileção por idade ou sexo | ||
| MALIGNOS | |||
| Carcinoma hepatocelular fibrolamelar | Pacientes do sexo feminino, jovens, sem elevação de alfa-feto, com imagem de cicatriz estrelada. | Carcinoma hepatocelular convencional | Nódulo que se destaca em meio ao parênquima hepático em fígado já nodular (cirrótico), com elevação da alfa-feto (mesmo para um fígado cirrótico). |
| Angiossarcoma | Normalmente em pacientes idosos | ||
| Metástases | História prévia de neoplasia maligna, a mais comum é o câncer cólon-retal. | ||
| Colangiocarcinoma | Pacientes idosos, normalmente com história de doença de vias biliares prévia (Doença de Caroli por ex.) | ||
Vale a pena destacar os tumores pediátricos, cuja a abordagem inicial é diferente. Com um destaque especial para o Sarcoma embrionário indiferenciado, em casos em que há suspeita desse, não se deve fazer biópsia, a conduta é retirada do nódulo por cirurgia.
E é importante ainda ressaltar que nem sempre os tumores se comportam da maneira esperada, ou tem apresentação clínica clássica, então nunca se deve excluir totalmente uma possibilidade com por que apenas um parâmetro não está à favor.

BIBLIOGRAFIA
- Liver Pathology: A Competency Course on Common Diagnostic Problems Jay H. Lefkowitch, MD – Saturday—CAP -9/13/2003
- 3º Consenso Brasileiro para pesquisa de autoanticorpos em células HEp-2 (FAN). Recomendações para padronização do ensaio de pesquisa de autoanticorpos em células HEp-2, controle de qualidade e associações clínicas – Rev Bras Reumatol 2009;49(2):89-109
- HDV GENOTYPES IN THE WESTERN BRAZILIAN AMAZON REGION: A PRELIMINARY REPORT – Am. J. Trop. Med. Hyg., 75(3), 2006, pp. 475–479
- LABORATORY GUIDELINES FOR SCREENING, DIAGNOSIS AND MONITORING OF HEPATIC INJURY – The National Academy of Clinical Biochemistry
- Hepatite C – Revista da Sociedade Brasileira de Medicina Tropical 34(1):69-82, jan-fev, 2001.
- An Algorithm for the Grading of Activity in Chronic Hepatitis C – HEPATOLOGY Vol. 24, No. 2, 1996
- Non-alcoholic fatty liver disease – Journal of Gastroenterology and Hepatology (2002) 17 (Suppl.) S186–S190
- Nonalcoholic Steatohepatitis (NASH) – Pathology Case Reviews 2010;15: 65–71)
- GASTROINTESTINAL AND LIVER PATHOLOGY ( Foundation in anatomic pathology -Diagnostic series)– ed Churcill Linvingstone
- Diagnosis and Treatment of Autoimmune Hepatitis – HEPATOLOGY, August 2002
- ABC OF LIVER, PANCREAS AND GALL BLADDER – BMJ Books 2001
- Scheuer PJ, Leftkowitch, JH; Liver Biopsy Interpretation. Saunders, 2000
- Schiff´s disease of the liver tenth edition – Schiff et al – ed lippincott Willinas & Wilkins
- Biopsy interpretation of the liver – Geller and Petrovic – ed lippincott Willinas & Wilkins
- Gayotto Doenças do Fígado e Vias biliares -Gayotto e Alves – ed Atheneu
- Robbins and Contran Pathologic Basis of Disease 8th Edition 2009 Kumar et al
Artigo criado em: 01/05/11
Última revisão: 01/05/11

