
INTRODUÇÃO
Esteatose, “gordura no fígado” ou “fígado gorduroso” é o nome dado ao excesso de gorduras, especialmente triglicérides, no interior das células do fígado. Isso pode acontecer quando o funcionamento do fígado é afetado pelo álcool ou por doenças como a hepatite C, mas cada vez mais observamos a esteatose decorrente de doenças metabólicas, como a obesidade, o diabetes e a dislipidemia. Nesse artigo, vou focar na esteatose decorrente das doenças metabólicas (atualmente chamada de “doença hepática gordurosa associada ao metabolismo“, ou “metabolic associated fatty liver disease – MAFLD“). Para facilitar, vou usar o termo esteatose nesse artigo.

A presença de esteatose em si já é um problema: se temos gordura em excesso no fígado, temos também gordura se acumulando nas artérias, o que aumenta o risco de infarto, derrame a outros problemas cardiovasculares. Mas, mais importante, em algumas pessoas a esteatose desencadeia inflamação no fígado, a esteato-hepatite. Essa inflamação leva à destruição das células do fígado, que ao se regenerarem formam cicatrizes, essas cicatrizes vão se acumulando até o fígado ficar deformado, que chamamos de cirrose, com todas as suas complicações, incluindo o câncer. Se esse processo continuar, o fígado vai perdendo a capacidade de regeneração, as células deixam de ser repostas e o órgão para de funcionar.
HISTÓRICO
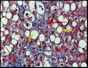
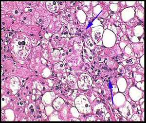
Até a década de 1980, acreditava-se que todo fígado com acúmulo de gordura e sinais de inflamação (hepatite) era causado pelo consumo de álcool. Hoje pode parecer surpreendente, mas esse tipo de alteração é tão comum em usuários de álcool que mesmo que o paciente negasse o consumo de bebidas alcoólicas ainda era considerado como se estivesse mentindo. Em 1980, Ludwig e colaboradores descreveram com o nome esteato hepatite não alcoólica – EHNA (nonalcoholoic steatohepatitis – NASH) uma síndrome caracterizada por mulheres obesas e diabéticas que negavam o uso de álcool, mas apresentavam alterações no fígado muito semelhantes a da hepatite alcoólica, com aumento do volume do fígado, alterações em exames laboratoriais e biópsias com macrovesículas de gordura (daí o nome esteatose, que vem de gordura) nos hepatócitos , necrose (morte celular) focal, inflamação e lesões chamadas de corpúsculos de Mallory (achados até então considerados característicos da hepatite alcoólica).

Mesmo com o reconhecimento de uma doença caracterizada pelo acúmulo de gordura no fígado e, em alguns casos, inflamação e fibrose (cicatrizes) evoluindo até cirrose em pacientes sem uso de álcool, ainda restava um problema: boa parte desses pacientes não eram obesos ou diabéticos e tinham histórico compatível com o de uma doença infecciosa (históricos de uso de drogas, transfusões sanguíneas, e outros). Foi a época em que as hepatites crônicas onde já havia sido descartadas as hepatites A e B eram chamadas de “hepatite não A não B”.

Em 1989, finalmente foi descoberto o vírus da hepatite C, responsável pela grande maioria dessas hepatites. Para complicar, uma das características da hepatite C é a presença de esteatose, com ou sem inflamação. Assim a esteatose na ausência de álcool foi quase sinônimo, por algum tempo, de hepatite C. Mas no final da década de 90 já tínhamos testes disponíveis e confiáveis que deixaram claro que boa parte das esteatoses não tinham nenhuma relação com álcool ou com a hepatite C – e que o número de casos estava aumentando de modo alarmante – coincidindo com a epidemia de obesidade, especialmente nos EUA.

Nas últimas décadas, o “fígado gorduroso” tem sido alvo de grande interesse e investigação científica. Coincidindo com a epidemia de obesidade, o aumento da disponibilidade do ultrassom, o hábito crescente de dosar transaminases “de rotina”, em admissão em empresas e antes de iniciar tratamentos com medicamentos potencialmente tóxicos ao fígado (como para colesterol ou espinhas), observou-se um aumento na incidência de esteatose. Mais ainda, foi constatado que grande parte (nos EUA, atualmente é a maioria) dos exames laboratoriais que mostravam destruição de células do fígado eram causados por uma hepatite associada a essa esteatose. Estudos populacionais demonstraram ainda que provavelmente grande parte das cirroses previamente sem causa definida pode ser atribuída a esse tipo de hepatite.
DEFINIÇÕES
Classicamente, a esteatose era diagnóstico de exclusão. Ou seja, a pessoa tinha esteatose diagnosticada após exames de imagem (especialmente ultrassonografia), com ou sem aumento de transaminases (AST e ALT) mostrando inflamação do fígado. O próximo passo seria descartar doenças do fígado que possam parecer esteatose (como a hemocromatose) ou que possam causar inflamações crônicas (hepatites). Mais importante, seria necessário descartar a possibilidade de doença pelo álcool, pois não dá para diferenciá-la da doença metabólica com exames. Para isso precisávamos saber o quanto a pessoa consumia e, se for em quantidade significativa (ver tabela abaixo), aguardar 6 meses de abstinência alcoólica para reavaliação.

O conceito atual de doença hepática gordurosa associada ao metabolismo exclui a necessidade de se descartar a ação do álcool. Não que alguma coisa tenha mudado na doença ou na nossa compreensão dela, mas que percebemos que a espera de 6 meses de abstinência alcoólica pode atrasar o diagnóstico e o tratamento, além de reconhecermos que muitas vezes temos pessoas com doença hepática pelo álcool e por distúrbios metabólicos. Por outro lado, o mecanismo da doença pelo álcool é diferente, mesmo tendo as duas causas muitas vezes basta a abstinência alcoólica para melhorar e juntar duas doenças vai complicar muito mais os estudos científicos, o que significa que esse nome talvez tenha uma vida curta.

Portanto, para fins de clareza vou manter nesse texto a classificação válida até o ano passado:
- Esteatose é o acúmulo excessivo de gordura no fígado, independente da causa
- Esteato hepatite é quando a esteatose está acompanhada de inflamação (que pode levar até cirrose), independente da causa
- Doença hepática gordurosa não alcoólica (DHGNA) é a esteatose excluindo a causada pelo álcool
- Esteato hepatite não alcoólica (EHNA) é a esteatose acompanhada de inflamação excluindo a causada pelo álcool
EPIDEMIOLOGIA
Avaliar quantas pessoas são portadoras de esteatose não é tão difícil. Com ultrassom tão disponível e realizado rotineiramente em todo o mundo, sabemos que 25% a 35% da população mundial tem excesso de gordura no fígado. Ocorre em mais de 16% das pessoas saudáveis não obesas e em cerca de 95% dos obesos que fazem uso de álcool. Com a relação direta entre esteatose e álcool, sabemos que 90-100% dos alcoólatras apresentam esteatose, embora apenas 10-20% desses desenvolverão doença avançada do fígado. O risco de lesão do órgão pelo álcool aumenta com a idade e mulheres são mais susceptíveis a hepatite alcoólica que homens, apresentando doença com doses menores.

No caso da doença gordurosa sem o álcool (chamada até recentemente de doença hepática gordurosa não alcoólica – DHGNA), foi observada em 1,2% a 9% das biópsias hepáticas de rotina. Está intimamente relacionada a obesidade, sendo que 80% dos obesos tem esteatose, e mais de 50% dos obesos submetidos a cirurgia bariátrica tem esteato hepatite. Do total de pacientes com esteatose, 51-60% são obesos, e 76% tem diabetes do tipo 2.

Um estudo que analisou a histologia hepática em pacientes não selecionados (vítimas fatais de acidentes automobilísticos) encontrou esteatose em 24%. Outro que analisou necrópsias de não alcoólatras encontrou esteatose em 35% dos magros e 70% dos obesos, além de esteato-hepatite em 2,7% dos magros e 18,5% dos obesos.
Esses dados, apesar da dificuldade em estabelecer uma estatística precisa, sugerem que a esteato-hepatite não alcoólica seja a principal causa de doença hepática crônica nos EUA e possivelmente também no Brasil, sendo mais comum do que a hepatite alcoólica, as hepatites virais B e C e as demais doenças do fígado que progridem para cirrose. Assim, como reflexo da epidemia de obesidade e síndrome metabólica nas últimas décadas, espera-se uma epidemia subseqüente de cirrose e hepatocarcinoma causados pela doença nas próximas décadas.
ETIOLOGIA (CAUSAS)
A primeira coisa a se entender sobre a esteatose é que acumular gordura é uma das funções do fígado. Uma das suas muitas funções é ajudar no delicado equilíbrio energético do organismo, formando estoques de açúcar de uso rápido (glicogênio) para flutuações da glicose nos períodos de jejum do dia e estoques de gordura, principalmente triglicérides, para períodos mais longos de falta de comida. Essa gordura acumula-se inicialmente em pequenas gotículas de gordura no interior das células, mas se continuarem crescendo podem até deformá-las. Chamamos de esteatose não a presença de gordura, mas a presença de gordura acima do que é observado na maioria das pessoas saudáveis.


Nem sempre o excesso de gordura vem do excesso de comida, ou do desequilíbrio entre o consumo e o uso de calorias. Pode haver um erro na produção dos hormônios e na troca da informações necessárias para o equilíbrio energético, levando à produção de mais gordura que o necessário (como visto no diabetes), ou erros na regulação da quantidade de gordura produzida (dislipidemias e outras doenças hereditárias), dificuldade na sua eliminação (álcool e alguns medicamentos) e combinação entre vários fatores e mecanismos.

A tendência atual é pensar na esteatose no contexto de distúrbio do metabolismo de gordura quando as outras causas (tabela acima) forem descartadas ou não fizerem sentido do ponto de vista clínico e epidemiológico. Assim, vamos focar o restante do texto nessa situação.
Esteatose
O acúmulo de gordura no interior dos hepatócitos é um mecanismo natural, utilizado para estocar energia. A quantidade de energia acumulada na gordura é muito maior que no açúcar ou na proteína, podendo fornecer ao organismo grande quantidade de energia nos momentos de necessidade. O fígado mantém dois grandes estoques de energia: a gordura (especialmente na forma de triglicérides, também chamados de triacilgliceróis) e o glicogênio, que é uma glicose alterada para ser estocada para uso rápido. Quando permanecemos em jejum e o nível de açúcar no sangue diminui, hormônios enviam sinal ao fígado para transformar o glicogênio em glicose e manter o organismo funcionando. Se a falta de comida persistir, a gordura começa a ser utilizada, mas este processo é mais demorado. Além disso, estudos sugerem que as células esteladas do fígado tentam controlar os níveis de colesterol no sangue transportando o excesso de gorduras para dentro do fígado. Os coelhos, por exemplo, que não tem células esteladas, sofrem muito mais com o excesso de colesterol.
Há vários motivos pelos quais o metabolismo natural de gordura pode ser alterado e levar à DHGNA:
O mais estudado está relacionado a resistência dos tecidos ao hormônio insulina, que regula e influencia todos os processos metabólicos que envolvem açúcares e gorduras. Com a resistência à insulina, há aumento da lipólise (transformação dos lipídeos em ácidos graxos, especialmente na forma de triglicérides), com o aumento no aporte de ácidos graxos ao fígado.

A dieta rica em carboidratos, por oferecer grande quantidade de energia, permite ao organismo estocar a energia excedente, principalmente na forma de triglicérides (a presença de triglicérides em grande quantidade no organismo não significa necessariamente a ingestão de grande quantidade de gordura, pois mesmo dietas com pouca gordura, em pessoas com distúrbios metabólicos que estimulam a produção de gorduras no organismo, poderão apresentar níveis assustadoramente altos de lipídeos), que são produzidos e acumulados no fígado.

A metabolização de ácidos graxos, realizada em grande parte no interior das mitocôndrias, pode estar prejudicado. Essa hipótese é sustentada pela demonstração de redução na atividade de genes que atuam na função mitocondrial em portadores de EHNA.
A própria esteatose pode levar a um processo de retroalimentação positiva (“círculo vicioso”) que estimula os processos anteriores.
Estudos recentes estão ajudando a esclarecer porque o grau de obesidade e de hipertrigliceridemia (excesso de triglicérides) não está necessariamente relacionado à presença de esteatose e esteato-hepatite e porque há uma tendência a familiares de portadores de DHGNA e EHNA a terem maior risco da doença do que pessoas semelhantes. Diversos genes foram relacionados à maior risco de DHGNA, mas ainda resta saber como esses genes desencadeiam a doença e, mais importante, se distúrbios genéticos diferentes darão origem a tratamentos específicos e mais eficazes para cada situação.
Esteato-hepatite
A esteatose hepática, em si, não é uma doença, mas reflete uma doença metabólica. Infelizmente, por motivos ainda em investigação, o organismo desencadeia uma inflamação contra os hepatócitos com acúmulo de gordura, que são gradualmente destruídos (em alguns casos, ocorre o contrário, uma agressão à mitocôndria ou ao hepatócito levando ao acúmulo de gordura por interromper o metabolismo da mesma). Dependendo da intensidade desta destruição, isso pode levar à formação de fibrose (cicatrizes) que vão se acumulando e progredindo até a formação de nódulos, o que caracteriza a cirrose.

Eixo central: a resistência periférica a insulina resultaria em aumento na entrada de ácidos graxos livres (AGLs) no fígado, o que causaria um desequilíbrio entre a oxidação e exportação dos AGLs e sua captação e síntese, resultando em acúmulo hepático de gordura. Isto resultaria em produção de espécies reativas de oxigênio (ERO) pela metabolização pelas vias do citocromo microssomal P450, lipo-oxigenases, peroxisomais e de beta-oxidação mitocondrial. Estas EROs causam apoptose e necrose dos hepatócitos, desencadeiam lesão inflamatória e imunomediada e ativam as células esteladas hepáticas, levando a fibrose hepática.
Stress do retículo endoplasmático: a presença do aumento da entrada de AGLs no fígadotambém resulta em stress do retículo endoplasmático dos hepatócitos e a apoptose dos mesmos, através da ativação da c-Jun N-terminal Kinase (JNK).
Tecido adiposo: o tecido adiposo secreta adipocitocinas (incluindo leptina e angiotensinogênio II), que têm participação direta na regulação do metabolismo dos adipócitos e em vários processos mediados pela insulina. A adiponectina, outro hormônio produzido pelos adipócitos), tem propriedades anti-inflamatórias e anti-esteatóticas, aparentemente protegendo contra a DHGNA. Sua secreção é regulada parcialmente pelo fator de necrose tumoral alfa (TNF-alfa), cuja síntese é promovida pelo fator de transcripção nuclear NFβ. A ativação direta das células esteladas hepáticas também pode ocorrer pela hiperglicemia e hiperinsulinemia causada por regulação para cima dos fatores de crescimento do tecido conjuntivo.
Os mecanismos que desencadeiam a hepatite em um paciente com esteatose simples não são conhecidos, mas estudos recentes já tem mostrado os mecanismos da inflamação e formação de fibrose. Sabemos que nestes casos a esteatose é tanto causa quanto resultado da formação de espécies reativas de oxigênio, peroxidação lipídica e stress oxidativo, redução na função da cadeia respiratória mitocondrial, depleção de ATPs e produção de citocinas pró-inflamatórias, incluindo fator de necrose tumoral alfa (TNF-α). Em modelos animais, observou-se ciclo auto-perpetuado de resistência insulínica e inflamação pela ativação crônica da quinase inibitória kappa beta (IKKβ) e interações com o fator de transcripção nuclear NFκβ. Estudos também demonstraram a natureza pró-fibrogênica (estímulo à fibrose hepática) pela hiperinsulinemia, hiperglicemia e pela leptina (um hormônio relacionado à obesidade que está sendo muito estudado no momento).

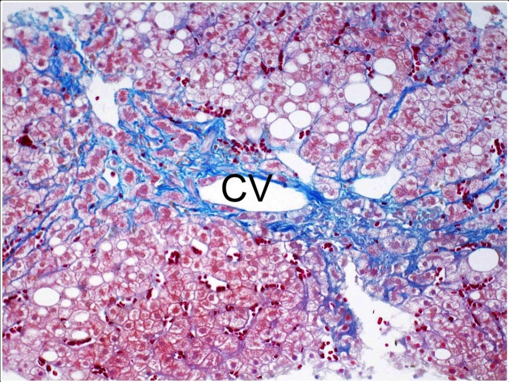
Contributed by Yoshihiro Ikura, M.D. (fonte)
DIAGNÓSTICO
Cerca de 45-100% dos pacientes não apresentam sintomas. Quando apresentam, especialmente crianças, os sintomas mais comuns são dor em hipocôndrio direito, desconforto abdominal, fadiga e indisposição. O aumento do fígado (hepatomegalia) pode ser observado em até 12-95%. As alterações laboratoriais mais comuns são elevações de até 5 vezes em AST e ALT. Outra característica interessante dos exames laboratoriais é que a relação AST/ALT é menor que 1 em 65-90%. Quando se torna maior que 1, está ocorrendo progressão da doença com formação de fibrose e evolução para cirrose. Os níveis de fosfatase alcalina e gama-glutamiltransferase estão aumentados em 2 a 3 vezes em menos que 50% dos casos.

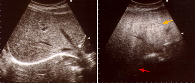
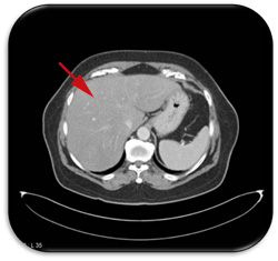
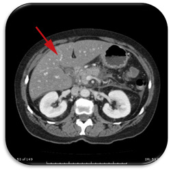
A demonstração do acúmulo de gordura geralmente é realizada através de exames complementares de imagem (ecografia, tomografia computadorizada ou ressonância nuclear magnética). Estes exames são considerados geralmente suficientes para o diagnóstico da esteatose, podendo também informar se há sinais de desenvolvimento de cirrose ou de hipertensão portal. Mas não permitem a diferenciação entre a esteatose e a esteato-hepatite nem diferenciar graus intermediários de fibrose ou de atividade da inflamação. É possível diferenciar grosseiramente o acúmulo de gordura entre leve (grau I), moderada (grau II) e severa (grau III), embora isso tenha pouca utilidade clínica.


No entanto os exames de imagem, especialmente a ultrassonografia, podem errar o diagnóstico. Doenças como a hemocromatose (onde há acúmulo de ferro no fígado) e glicogenoses (acúmulo de metabólitos de glicogênio) podem ser muito semelhantes à esteatose. Assim, considera-se que o melhor exame para o diagnóstico da esteatose é a biópsia hepática com análise histopatológica do material coletado. Além de confirmar a presença do acúmulo de gordura e diferenciar de outras doenças, permite avaliar se há hepatite e o quanto a doença está avançada em termos de fibrose.


Os principais fatores limitantes à biópsia hepática é que é um exame invasivo (apesar do risco de complicações ser pequeno, é um exame desconfortável e necessita de pelo menos um dia de afastamento das atividades habituais) e o fato da doença não se distribuir necessariamente de forma homogênea no fígado, sendo possível colher material que não seja representativo do fígado como um todo.
Resistência à insulina
O diagnóstico de resistência à insulina geralmente é inicialmente clínico, observando-se sinais de síndrome metabólica (obesidade e hipertensão arterial) e complementado com a dosagem no sangue das frações de colesterol, triglicérides e glicose. Recentemente, desenvolveu-se o índice HOMA-IR, um método simples de cálculo da resistência à insulina através da dosagem conjunta de glicose e insulina.
Esteatose versus esteato-hepatite
A diferenciação entre a esteatose “simples” e a esteatose com inflamação associada nem sempre é fácil e só pode ser confirmada pela biópsia hepática. A elevação das aminotransferases (AST e ALT), na ausência de outras causas (como a hepatite C, que tende a cursar com o aparecimento de uma esteatose), geralmente indica a presença de inflamação. Um dos sinais laboratoriais mais precoces, apesar de pouco específico, é o aumento da gama-glutamil transferase (GGT).

HISTÓRIA NATURAL
A informação mais importante seria qual a importância prática desta doença. Aparentemente, a grande maioria das esteatoses não causa lesão hepática mesmo com 20 anos de acompanhamento. No entanto, nos pacientes com esteato-hepatite acompanhados por até 9 anos, 27% evoluíram para fibrose e 19% para cirrose. Acredita-se hoje que grande parte das cirroses criptogênicas (de causa desconhecida) estejam relacionadas à EHNA.

TRATAMENTO
Esteatose
Obesidade
O principal objetivo do tratamento é eliminar os fatores que levaram à esteatose. Se forem agentes externos como medicamentos, álcool ou outros agentes tóxicos, eles devem ser eliminados. Se for por diabetes não controlado adequadamente, o tratamento precisa ser ajustado. Se o indivíduo for obeso, ou se consumir dieta rica em gorduras e/ou carboidratos, deve perder peso, adequar a dieta e realizar exercícios físicos apropriados à idade e condição física. Estudos mostram que perder de 3 a 5% do peso já começa a reduzir a esteatose, e muitas vezes só o emagrecimento é suficiente para eliminar a esteatose por completo. Preferencialmente, essa redução de peso deve ser feita com acompanhamento médico (com um bom clínico geral ou endocrinologista) e, se possível, também com nutricionista. Não há uma “fórmula mágica” ou dieta específica para isso, cada caso é um caso e emagrecer sempre exige esforço e persistência. Por outro lado, deve-se sempre pensar que emagrecer vai ajudar o fígado e também reduzir o risco de outras doenças, como infarto e derrame.

O orlistat (xenical®) é um medicamento utilizado no tratamento da obesidade por diminuir a absorção de gorduras pelo intestino. Sua eficácia na esteatose está relacionada mais à perda de peso do que ao seu efeito no metabolismo da gorduras, mas seu uso é limitado pelos efeitos colaterais, principalmente flatulência e diarreia. Há diversos outros medicamentos que podem ser utilizados no auxílio ao emagrecimento, com eficácia na esteatose também dependentes da perda de peso, mas menos estudados em relação a esse objetivo. O médico deve esclarecer ao paciente sobre os riscos relacionados ao medicamento prescrito (não há fármaco para o tratamento da obesidade isento de efeitos colaterais) e evitar os que podem causar lesão no fígado. Cabe ressaltar que medicamentos “naturais” são geralmente erroneamente tratados como seguros, enquanto muitos são tóxicos ao fígado.
Os novos agonistas GLP-1 e GIP (liraglutida (Victoza® e Saxenda®), semaglutida (Ozempic®, Rybelsus® e Wegovy®), dulaglutida (Trulicity®) e tirzepatida (Mounjaro®) atuam reduzindo o apetite, controlando a glicemia e ajudando o corpo a queimar gordura com mais eficiência, o que facilita não apenas a perda, mas também a manutenção do peso perdido. Estudos recentes mostram que a redução do peso vem acompanhada de melhora na síndrome metabólica (e, consequentemente, reduz risco de infarto, derrame e outras complicações), no grau de esteatose e em reduzir o grau de fibrose do fígado.

Leia mais em: Novos medicamentos para emagrecer e a gordura no fígado
Além da mudança no estilo de vida e do tratamento farmacológico, a cirurgia bariátrica é uma opção no portador de esteatose que também é obeso e apresenta síndrome metabólica.
Resistência à insulina
A resistência à insulina, presente na grande maioria dos pacientes com esteatose hepática, pode ser tratada (além do tratamento da obesidade, se presente) com insulinossensibilizantes. O mais estudado na esteatose hepática é a metformina (2 g ao dia), que já é utilizada há muito tempo no tratamento do diabetes e apresenta como vantagem uma tendência a levar a perda de peso. As tiazolidinedionas (pioglitazona 30 a 45 mg ao dia e rosiglitazona 4 mg, duas vezes ao dia) são agentes mais novos e que, ao contrário da metformina, estão associadas a aumento de peso e um (discutível) aumento no risco de doenças cardiovasculares. Os três medicamentos já foram analisados em diversos estudos, com bons (embora variáveis) resultados no tratamento da esteatose e esteato-hepatite, mas não reduzem a fibrose no fígado.
Redução nos lipídios
Como a hipertrigliceridemia (quantidade aumentada de triglicérides no sangue) e níveis baixos de colesterol HDL estão associados à síndrome metabólica e à esteatose e esteato-hepatite, uma alternativa de tratamento é corrigir esse problema. A medicação mais estudada para isso é o gemfibrozil (600 mg ao dia por 4 semanas), com pouca eficácia bioquímica. As estatinas, medicamentos de outra classe, mostraram maior eficácia, mas estão associadas ao risco de toxicidade hepática. Estão recomendadas nos pacientes com esteatose e dislipidemia, mas contra indicadas no cirrótico descompensado.
Esteato-hepatite
Enquanto que o tratamento da esteatose está indicado mais pelos fatores associados a ela (obesidade, resistência insulínica, hipertrigliceridemia e síndrome metabólica, que levam a doença cardiovascular, incluindo infarto do miocárdio e derrame), o da esteato-hepatite é, em si, necessidade de tratamento, pelo risco de evolução para cirrose hepática e, subsequentemente, de insuficiência hepática e hepatocarcinoma. É importante ressaltar que, como é uma doença reconhecida há relativamente pouco tempo, ainda não há estudos que demonstrem claramente que algum tratamento modifique a sua evolução – o que temos são estudos mostrando melhora ou não em exames laboratoriais e, mais raramente, na inflamação observada em biópsias.

O tratamento da esteato-hepatite (acúmulo de gordura relacionada a inflamação) é complementar ao tratamento da esteatose, descrito acima, se o mesmo não for suficiente. Estudos demonstraram que a dieta com restrição de calorias, associada a exercícios físicos, reduzem a resistência à insulina e, conseqüentemente, levam a redução de transaminases em pacientes com EHNA comprovada, o que significa redução na inflamação. A cirurgia bariátrica também é uma opção, sendo que a presença de esteato-hepatite associada à obesidade pode ser, em si, indicação do procedimento se não houver controle adequado da doença com outras medidas.
Antioxidantes
O objetivo dos antioxidantes não é o de eliminar o depósito de gordura, mas sim o de reduzir a lesão ao fígado causada pela inflamação. Esse tratamento, portanto, não tem como objetivo tratar a causa do problema, apenas reduzir a destruição dos hepatócitos e, espera-se, impedir ou atrasar a progressão da doença. O antioxidante mais estudado, e atualmente o único fármaco com comprovação científica para o tratamento da esteato hepatite, é a vitamina E, na dose de 800 UI por dia. Os resultados de estudos com vitamina C não são conclusivos.
Ácidos ursodesoxicólico e obeticólico
O ácido ursodesoxicólico (AUDC) é um sal biliar mais hidrossolúvel, que acelera o fluxo biliar, diminuindo o contato da bile com os hepatócitos e, conseqüentemente, a toxicidade pela mesma. Além disso, por mecanismos desconhecidos, tem efeito imunomodulatório no fígado, reduzindo a inflamação. Sua eficácia na esteato-hepatite, na dose de 13 a 15 mg/kg ao dia, é contraditória nos estudos existentes, tendo a vantagem de ser muito bem tolerada, apesar de relativamente clara. O ácido obeticólico (AOC), uma versão sintética mais moderna do AUCD, teve resultados inicialmente promissores, mas causou coceira, aumento do colesterol e lesão no fígado, sendo necessário interromper as pesquisas.
Resmetirom
O resmetirom é uma droga que estimula o receptor para hormônio da tireoide no fígado, levando ao consumo do excesso de gordura pelos hepatócitos e reduzindo a formação de fibrose em estudos clínicos. Isso levou à “aprovação acelerada” do medicamento pelo órgão responsável nos EUA, sendo recomendado pelas sociedades de hepatologia para o uso na esteatohepatite com fibrose avançada (F>2), mas ainda sem cirrose. Por outro lado, o índice de efeitos colaterais é alto, especialmente diarreia, náuseas e vômitos, e ainda não temos estudos de “vida real”, que é quando realmente podemos avaliar a sua eficácia e segurança. Ainda não temos previsão para aprovação e lançamento no Brasil, nem quanto será o custo desse tratamento.

CONCLUSÕES
A doença hepática gordurosa, sem relação com álcool ou hepatite viral, só foi reconhecida recente e tardiamente, e o aumento alarmante no número de casos está diretamente relacionado à epidemia mundial de obesidade. Se não tratada, pode desencadear inflamação crônica do fígado, levando a cirrose e, com o passar dos anos, câncer do fígado.
Além da obesidade, o uso de medicamentos, diabetes, aumento de colesterol e triglicérides e certas condições genéticas podem causar esteatose e devem ser reconhecidas e tratadas. Independente da causa, a presença de acúmulo de gordura no fígado sugere que gordura está sendo acumulada em outros órgãos, espacialmente as artérias, o que aumenta o risco de infarto, derrame e outras doenças.

Finalmente, não há tratamento comprovadamente eficaz para reduzir a gordura no fígado até agora, apenas para reduzir a inflamação enquanto as causas do acúmulo de gordura são corrigidas. De modo geral, se descoberta em tempo, a mudança no estilo de vida pode reverter completamente a situação e eliminar a doença.
BIBLIOGRAFIA
- Yngve Falck-Ytter e Mc Cullough, A.J. Sem Liver Disease 21(1):17-26, 2001
- Angulo, P.A. e Lindor, K.D. Sem Liver Disease 21(1):81-88, 2001
- Scheuer, P.J. e Lefkowitch Liver Biopsy Interpretation W.B. Saunders 2000
- Sheth S G, Gordon F D, Chopra S Nonalcoholic steatohepatitis. Ann Intern Med 1997; 126: 137.S.
- Ludwig J, Viggiano TR, McGill DB, Oh BJ. Nonalcoholic steatohepatitis: Mayo Clinic experiences with a hitherto unnamed disease. Mayo Clin Proc 1980;55:434-438
- Teli MR, James OFW, Burt AD, Bennett MK, Day CP. The natural history of nonalcoholic fatty liver—a follow-up study. Hepatology 1995;22:1714-1719
- Matteoni CA, Younossi ZM, Gramlich T, et al. Nonalcoholic fatty liver disease: a spectrum of clinical and pathological severity. Gastroenterology 1999;116:1413-1419
- Brunt, E.M. Nonalcoholic Steatohepatitis. Semin Liver Dis 24(1):3-20, 2004
- Ruhl CE, Everhart JE. Determinants of the association of overweight with elevated serum alanine aminotransferase activity in the United States. Gastroenterology 2003;124: 71-79
- Lonardo A, Bellini M, Tartoni P, Tondelli E. The bright liver syndrome-prevalence and determinants of a “bright” liver echopattern. Ital J Gastroenterol Hepatol 1997;29:351-356
- Bellentani S, Tiribelli C. The spectrum of liver disease in the general population: lesson from the Dionysos study. J Hepatol 2001;35:531-537
- Clark JM, Brancati FL, Diehl AM. The prevalence and etiology of elevated aminotransferase levels in the United States. Am J Gastroenterol 2003;98:960-967
- Hilden M, Christoffersen P, Juhl E, Dalgaard JB. Liver histology in a “normal” population—examinations of 503 consecutive fatal traffic casualties. Scand J Gastroenterol 1977;12:593-597
- Wanless IR, Lentz JS. Fatty liver hepatitis (steatohepatitis) and obesity: an autopsy study with analysis of risk factors. Hepatology 1990;12:1106-1110
- Sreekumar R, Rosado B, Rasmussen D, Charlton M. Hepatic gene expression in histologically progressive nonalcoholic steatohepatitis. Hepatology 2003;38:244-251
- Cotrim, HP. Doença hepática gordurosa não alcoólica. Programa de Educação Médica Continuada da Sociedade Brasileira de Hepatologia, 2006
- McAvoy NC; Ferguson JW; Campbell IW; Hayes PC. Non-Alcoholic Fatty Liver Disease: Natural History, Pathogenesis and Treatment. Br J Diabetes Vasc Dis. 6(6):251-260, 2006 (link)
- Gholam PM; Flancbaum L; Machan JT; Charney DA; Kotler DP Nonalcoholic Fatty Liver Disease in Severely Obese Subjects Am J Gastroenterol 102(2):399-408, 2007
- Méndez-Sánchez N; Arrese M; Zamora-Valdés D; Uribe M. Current Concepts in the Pathogenesis of Nonalcoholic Fatty Liver Disease. Liver Int. 27(4):423-433, 2007
- Bookman ID; Pham J; Guindi M; Heathcote EJ. Distinguishing Nonalcoholic Steatohepatitis from Fatty Liver: Serum-free Fatty Acids, Insulin Resistance, and Serum Lipoproteins Liver Int. 26(5):561-571 2006
- Oliveira EP et al. Índice HOMA (homeostasis model assessment) na prática clínica: uma revisão. J Bras Patol Med Lab v. 41(4);237-43 2005
- Schwimmer JB, Celedon MA, Lavine JE, et al. Heritability of nonalcoholic fatty liver disease. Gastroenterology. 2009;136:1585-1592. Abstract
- Romeo S, Kozlitina J, Xing C, et al. Genetic variation in PNPLA3 confers susceptibility to nonalcoholic fatty liver disease. Nat Genet. 2008;40:1461-1465. Abstract
- Petersen KF, Dufour S, Hariri A, et al. Apolipoprotein C3 gene variants in nonalcoholic fatty liver disease. N Engl J Med. 2010;362:1082-1089.
- Brunt, EM Nonalcoholic steatohepatitis. Semin Liver Dis. 2004;24(1)
- Younossi, ZM Review Article: Current Management of Non-Alcoholic Fatty Liver Disease and Non-Alcoholic Steatohepatitis. Alimentary Pharmacology & Therapeutics. 2008;28(1):2-12
- Lam M e Younossi ZM Treatment Options for Nonalcoholic Fatty Liver Disease. Ther Adv Gastroenterol. 2010;3(2):121-137
- McAvoy NC et al Non-Alcoholic Fatty Liver Disease: Natural History, Pathogenesis and Treatment British Journal of Diabetes and Vascular Disease. 2006;6(6):251-260
- Sanyal, AJ et al Pioglitazone, vitamin E, or placebo for nonalcoholic steatohepatitis. N Engl J Med. 2010; 362(18):1675-85
- Adams LA e Feldstein AE Nonalcoholic Steatohepatitis: Risk Factors and Diagnosis Expert Rev Gastroenterol Hepatol. 2010;4(5):623-635
- Pasumarthy L e Srour J Nonalcoholic Steatohepatitis: A Review of the Literature and Updates in Management South Med J. 2010;103(6):547-550
- Oh MK, Winn J e Poordad F Review Article: Diagnosis and Treatment of Non-alcoholic Fatty Liver Disease Alimentary Pharmacology & Therapeutics. 2008;28(5):503-522
- Cançado, GG Doença hepática gordurosa associada a disfunção metabólica: mudança de terminologia. PEBMED (link)
- Gill MG, Majumdar A. Metabolic associated fatty liver disease: Addressing a new era in liver transplantation. World J Hepatol. 2020;12(12):1168-1181. doi:10.4254/wjh.v12.i12.1168
- Frank Tacke, Paul Horn, Vincent Wai-Sun Wong, Vlad Ratziu, Elisabetta Bugianesi, Sven Francque, Shira Zelber-Sagi, Luca Valenti, Michael Roden, Fritz Schick, Hannele Yki-Järvinen, Amalia Gastaldelli, Roberto Vettor, Gema Frühbeck, Dror Dicker, EASL–EASD–EASO Clinical Practice Guidelines on the management of metabolic dysfunction-associated steatotic liver disease (MASLD), Journal of Hepatology, Volume 81, Issue 3, 2024, Pages 492-542, ISSN 0168-8278, https://doi.org/10.1016/j.jhep.2024.04.031
- Perazzo H, Pacheco AG, Griep RH; Collaborators. Changing from NAFLD through MAFLD to MASLD: Similar prevalence and risk factors in a large Brazilian cohort. J Hepatol. 2024 Feb;80(2):e72-e74. doi: 10.1016/j.jhep.2023.08.025. Epub 2023 Sep 9. PMID: 37678721
- Younossi ZM, Golabi P, Paik JM, Henry A, Van Dongen C, Henry L. The global epidemiology of nonalcoholic fatty liver disease (NAFLD) and nonalcoholic steatohepatitis (NASH): a systematic review. Hepatology. 2023 Apr 1;77(4):1335-1347. doi: 10.1097/
- Silva Júnior WS, Valério CM, Araujo-Neto JM, Godoy-Matos AF, Bertoluci M. Doença hepática esteatótica metabólica (DHEM). Diretriz Oficial da Sociedade Brasileira de Diabetes (2024). DOI: 10.29327/5412848.2024-8, ISBN: 978-65-272-0704-7.
- YOUNOSSI, Z. M. et al. Global perspectives on nonalcoholic fatty liver disease and nonalcoholic steatohepatitis. Hepatology, v. 77, n. 5, p. 1712–1725, 2023.
- GASTALDELLI, A. et al. The dual glucose-dependent insulinotropic polypeptide and glucagon-like peptide-1 receptor agonist tirzepatide improves liver fat content and biomarkers of nonalcoholic steatohepatitis in patients with type 2 diabetes. Diabetes Care, v. 45, n. 5, p. 1257–1265, 2022.
- NEWSOME, P. N. et al. A placebo-controlled trial of subcutaneous semaglutide in nonalcoholic steatohepatitis. The New England Journal of Medicine, v. 384, n. 12, p. 1113–1124, 2021.
- Diaz LA, Arab JP, Idalsoaga F, Perelli J, Vega J, Dirchwolf M, Carreño J, Samith B, Valério C, Moreira RO, Acevedo M, Brahm J, Hernández N, Gadano A, Oliveira CP, Arrese M, Castro-Narro G, Pessoa MG. Updated recommendations for the management of metabolic dysfunction-associated steatotic liver disease (MASLD) by the Latin American working group. Ann Hepatol. 2025 Mar 13;30(2):101903. doi: 10.1016/j.aohep.2025.101903. Epub ahead of print. PMID: 40089151.
Artigo criado em: 2003
Última revisão: 01/11/2025

