INTRODUÇÃO
A hemocromatose hereditária (HH) é uma doença que leva ao acúmulo de ferro nos órgãos, podendo levar a cirrose, problemas cardíacos e endocrinológicos se não descoberta e tratada a tempo. Geralmente causa apenas fadiga e dores articulares na fase inicial, o que dificulta o diagnóstico. É a doença genética mais comum em nosso meio, sendo particularmente comum em caucasianos, alcançando até 1 em 200 pessoas descendentes de nórdicos ou celtas. No Brasil, infelizmente, não temos uma estatística clara.

Ao longo da evolução humana, nossos antepassados sempre sofreram com fome e deficiências nutricionais. O ferro, em especial, sempre foi necessário e quase sempre estava em falta. Assim, ao contrário da maioria dos outros nutrientes, nunca precisamos desenvolver um método para eliminar ferro do nosso organismo e nosso único mecanismo de controle – reduzir a absorção – foi se deteriorando com o passar das gerações (como os peixes no interior de cavernas que ficam cegos). Hoje, que temos uma dieta rica em ferro, e sobrevivemos tempo o bastante para esse ferro acumular nos órgãos, isso virou uma doença.
Na grande maioria dos casos (80-85%), a HH ocorre pela mutação chamada “HFE“, que leva a um defeito na proteína hepcidina, que controla a quantidade de ferro absorvido no intestino, o que faz com que a pessoa acometida que consuma mais ferro que o necessário (a maioria das pessoas) acumule ferro principalmente no fígado, pâncreas e coração, podendo levar ao óbito por cirrose, hepatocarcinoma, insuficiência cardíaca ou diabetes. Os outros 10-15% dos casos, que se distribuem igualmente em todas as etnias, ocorrem por outras mutações (não HFE) com efeitos semelhantes.

Além da hemocromatose hereditária, há outras doenças que levam ao acúmulo de ferro no organismo, por outros mecanismos. Doenças genéticas onde há destruição crônicas das hemácias, abuso de álcool, doenças do fígado que alteram a produção de hepcidina e o metabolismo do ferro e até o abuso de suplementos podem levar à hemocromatose, mas são situações específicas que não serão abordadas aqui.
ETIOLOGIA
No caso da hemocromatose hereditária, a causa da doença são mutações genéticas, portanto ela é herdada dos pais. A mutação mais comum levando à doença é a chamada C282Y (no Brasil, ocorre em 1,2 a 2,8% das pessoas). A mutação H63D é bem mais comum (31,1 a 32,6% dos brasileiros), mas causa alteração leve na hepcidina e não leva à hemocromatose sozinha. Uma terceira mutação comum, a S65C, pode levar a aumento de ferro mas não costuma levar a acúmulo do mesmo nos tecidos, não sendo considerada então como importante. Algumas famílias com hemocromatose sem nenhuma das três sugerem que existam mais mutações do que as que conhecemos, mas devem ser bem mais raras.

De forma bem simplificada: o ferro da dieta é absorvido pelas células do intestino (enterócitos, à esquerda) e transportado no sangue ligado à transferrina, onde é distribuido para todos os órgãos, mas principalmente para a medula óssea, onde vai ser usado para produzir as cálulas vermelhas do sangue (eritrócitos). Um dos órgãos que recebe o ferro é o fígado, que quando detecta que a quantidade de ferro circulante está suficiente começa a produzir a hepcidina. A hepcidina chega nos enterócitos e destrói a ferroportina, que é (como diz o nome) a “porta” que leva o ferro do enterócito para o sangue, mantendo a quantidade de ferro no organismo normal. Na hemocromatose clássica (80-85% dos casos), a hepcidina não é produzida em quantidade suficiente ou é deformada e não funciona bem, não controladno a entrada de ferro como deveria. Fonte: Brissot, P., Pietrangelo, A., Adams, P. et al. Haemochromatosis. Nat Rev Dis Primers 4, 18016 (2018)
Como nosso organismo tem dois genes para fazer todas as funções (um herdado da mãe e um do pai), algumas doenças dependem de um gene defeituoso (as doenças chamadas autossômicas dominantes) e outras precisam de ambos os genes defeituosos.
Assim, geralmente basta um gene produtor da hepcidina funcionando bem para manter o controle de absorção de ferro e impedir o excesso. Agora, se nenhum dos genes for capaz de produzir uma boa hepcidina, a doença pode aparecer. A combinação mais comum de desenvolver doença é quando a mutação C282Y vem de ambos os pais (homozigoto C282Y, ou HH tipo 1a), embora possa surgir também quando recebe mutações diferentes de cada (geralmente heterozigoto C282Y/H63D, ou HH tipo 1b). Claro, outros fatores influenciam quando a doença surge e sua gravidade, como hábitos alimentares, doenças, abuso de álcool e gênero (as mulheres sofrem com a menstruação durante seu período fértil, mas em compensação as com mutações para hemocromatose são protegidas durante esse período com a perda periódica de sangue).
O ferro reage no interior das células com peróxidos produzindo os chamados radicais livres, que destroem DNA, lipídeos, proteínas e outros componentes das células. O excesso de ferro, portanto, leva a destruição celular, inflamação e formação de cicatrizes no lugar, ao longo do tempo comprometendo diversos órgãos, como fígado, coração, articulações e glândulas.
SINTOMAS
Os sintomas em si geralmente são vagos na fase inicial e tornam o diagnóstico difícil nessa fase. Os iniciais mais comuns são fadiga (que pode ser intensa) e dores articulares, que surgem antes nos homens (geralmente a partir dos 50 anos) do que nas mulheres (pela menstruação, gestação e amamentação, que consomem ferro).

O fígado é o órgão mais afetado na hemocromatose hereditária clássica (tipo 1, homozigose C282Y ou heterozigose C282Y/H63D). A pessoa pode apresentar apenas alterações laboratoriais observadas em exames de rotina, desconforto na região do fígado e até cirrose com todas as suas complicações. incluindo hipertensão portal, ascite, encefalopatia e hepatocarcinoma. Geralmente a cirrose ocorre em pacientes com ferritina muito elevada (acima de 1.000), mas álcool e outras doenças, incluindo hepatite C, potencializam o efeito do ferro na evolução da doença. O cigarro também pode piorar a situação. O risco de desenvolver câncer do fígado (hepatocarcinoma) a partir da cirrose é bem maior do que nas outras causas de cirrose, fazendo com que esse câncer seja responsável por até 45% das mortes nessa população.

Fígado normal (esquerda) e com cirrose (direita)
Apesar de incomum (apenas cerca de 3%), o acometimento do coração é a segunda causa de mortalidade em portadores de HH tipo 1. O ferro pode causas cardiomiopatia (doença do músculo cardíaco), arritmias e insuficiência cardíaca. Como consequência, os portadores podem desenvolver falta de ar, inchaço nas pernas e alteração nos batimentos cardíacos, que podem levar a morte súbita em casos mais graves.

Coração com hemocromatose hereditária preservado em formol (esquerda) e corado com Perls (direita) – agradecimentos ao Dr. Luis Humberto Cruz Contreras
O sistema endocrino também pode ser afetado pela hemocromatose. O ferro pode se acumular e destruir as células das ilhotas pancreáticas, levando ao desenvolvimento de diabetes. Essa complicação é mais comum entre os portadores da HH juvenil (tipo 2) e tipo 4. Outra glândula comumente acometida (mais na forma juvenil) é a pituitária, que reduz a produção de hormônios que estimulam as gônadas (ovários e testículos). Como consequência, homens podem apresentar perda de libido e impotência, enquanto que as mulheres podem desenvolver amenorréia (interrupção da menstruação) ou menopausa precoce. Hipotireoidismo e osteoporose são outras complicações possíveis.

As articulações também sofrer com o depósito de ferro, causando lesões e sintomas semelhantes à osteoartrite, mas tipicamente deixam as pontas dos dedos livres e acometem as articulações do meio dos dedos, de ambos os lados de forma simétrica. A pele pode escurecer pelo depósito de ferro que também estimula a produção de melanina, deixando a coloração mais escura e acinzentada, algumas vezes descrita como metálica ou acobreada. Foto Clinical Photography/SCIENCE PHOTO LIBRARY.
O sistema imunológico pode estar alterado também, com desregulação dos linfócitos T CD8+, levando a perda da proteção contra alguns microorganismos, especialmente Listeria monocytogenes, Yersinia enterocolitica, Escherichia coli e Vibrio vulnificus.

Conta-se que certo médico responsável por um sanatório cheio de pacientes com tuberculose observou que a grande maioria dos pacientes apresentavam anemia. Como a anemia piora a indisposição e a falta de ar, achou uma boa idéia suplementar ferro em todos os pacientes anêmicos. O que aconteceu foi que a mortalidade pela tuberculose disparou – as bactérias finalmente tinham o ferro que precisavam para se multiplicar.
Provavelmente mais importante do que o comprometimento imunológico é a questão do excesso de ferro em si: as micobactérias (responsáveis pela tuberculose, lepra e outras doenças) são as principais bactérias patogênicas que atacam os humanos. Elas se multiplicam com facilidade no nosso organismo, escapam do nosso sistema imune e muitas vezes o que impede que se alastrem mais é que precisam de ferro livre na circulação para se multiplicar. Um dos processo evolutivos que nos permite combater essas infecções é exatamente aumentar a produção de hepcidina, reduzir a entrada de ferro e privar as bactérias desse elemento. Também desenvolvemos anemia, mas é um preço a se pagar para continuar vivos !
DIAGNÓSTICO LABORATORIAL
Tipicamente, a investigação da hemocromatose começa com a avaliação da quantidade de ferro no organismo com exames de ferro, capacidade total de ligação do ferro, saturação da transferrina (calculada a partir dos dois anteriores) e ferritina. Além disso, para avaliar o fígado, é interessante dosar pelo menos ALT e plaquetas. Para interpretar os resultados, você precisa saber o que eles são.
A transferrina é a proteína que transporta o ferro dos enterócitos (ver no início do texto, em etiologia) pelo sangue até os órgãos. Se está cheia (muito saturada) de ferro, é porque há bastante ferro no organismo; se estiver vazia (pouco saturada), falta ferro. É por isso que a saturação de transferrina é o exame laboratorial mais importante na investigação.
A ferritina é uma proteína que fica no interior dos hepatócitos (células do fígado) e que servem para estocar ferro. Uma quantidade alta (acima de 1.000 ng/mL) provavelmente indica excesso de ferro, mesmo que a saturação da transferrina esteja normal (especialmente nas hemocromatoses não HFE), e esse valor em conjunto com plaquetas baixas e ALT elevado praticamente diagnostica que já está com cirrose. O problema da ferritina é que a sua produção aumenta em diversas situações, incluindo abuso de álcool e inflamações e infecções crônicas, mesmo sem relação com o metabolismo do ferro em si.

Um erro comum é achar que a ferritina sozinha é suficiente para diagnosticar e tratar hemocromatose. A ferritina pode estar aumentada por diversas causas sem nenhuma relação com excesso de ferro e até não significar doença alguma.
Uma vez que os exames laboratoriais mostraram o excesso de ferro, o próximo passo seria avaliar se a hemocromatose é hereditária ou adquirida. Hoje o teste genético está amplamente disponível e detecta das principais mutações (C282Y, H63D e S65C). Se as três vierem negativas e a investigação adicional for negativa para hemocromatose adquirida (doenças hematológicas ou hepáticas, abuso de suplementos, álcool, etc.), pode ser necessária a investigação das mutações mais raras, geralmente em centros de pesquisa.
BIÓPSIA HEPÁTICA
Com os exames laboratoriais e de imagem e teste genético, raramente há a necessidade de biópsia para confirmar ou estadiar a hemocromatose fora de protocolos de pesquisa. Hoje a biópsia está restrita a casos onde há dúvida diagnóstica, como quando há suspeita de hepatite autoimune ou de esteato hepatite associadas.

Biópsias hepáticas com diferentes formas de hemocromatose. A coloração de Perls é um preparo especial que mostra o ferro na coloração azul. (a) Hemocromatose HFE (tipo 1): sobrecarga férrica com gradiente porto-central; (b) Tfr2 (tipo 3): sobrecarga parenquimatosa periportal; (c) hemocromatose juvenil: sobrecarga panlobular; (d) doença da ferroportina: sobrecarga predominantemente nas células de Kupffer; (e) siderose africana: sobrecarga celular parenquimatosa; (f) talassemia maior: sobrecarga maciça nos hepatócitos e células de Kupffer. Fonte.
EXAMES DE IMAGEM
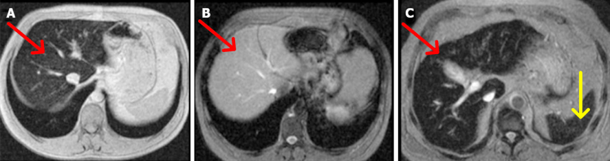
Além da avaliação do fígado, coração, etc, os exames de imagem têm uma função importante na hemocromatose: medir o depósito do ferro nos órgãos. Como o ferro é um metal, é possível realizar exame de ressonância nuclear magnética com quantificação do ferro nos dois órgãos mais afetados, o fígado e o coração. O exame não é perfeito, pode errar no diagnóstico com falso positivo e falso negativo em torno de 80%, mas não é invasivo e ajuda muito a fechar o diagnóstico quando associado aos exames laboratoriais. Uma curiosidade é que a HH não leva a acúmulo de ferro no baço, se isso foi observado deve-se pensar em hemocromatose adquirida ou do tipo 4.

Ressonância nuclear magnética para avaliar depósito de ferro. (A) Fígado mais escuro (seta vermelha), em paciente com hemocromatose hereditária. (B) Fígado de portador de HH após tratamento prolongado com flebotomias, com intensidade normal (seta vermelha). (C) Paciente com hemocromatose adquirida (secundária), com depósito de ferro no fígado (seta vermelha) e no baço (seta amarela). Fonte: Castiella A, Zapata E e Alústiza JM
TRATAMENTO
Flebotomia
O Colégio Americano de Gastroenterologia recomenda o tratamento de todos os pacientes com HH tipo 1 (homozigose C282Y) com sinais de sobrecarga de ferro (ferritina maior de 300 em homens e 200 em mulheres e saturação da transferrina acima de 45%) e observação dos demais. No caso dos heterozigotos C282Y e H3D, apesar do menor risco de progressão para cirrose e outras complicações, elas ainda podem ocorrer e recomenda-se tratar se sinais de sobrecarga. Essa recomendação nos heterozigotos é ainda mais importante nos caso em que há esteato hepatite, hepatite C, doença alcoólica ou outras condições que potencializem o dano aos órgãos-alvo.
O tratamento utilizado globalmente, de eficácia comprovada, relativamente barato e praticamente inócuo é a flebotomia (sangria) periódica, ou seja, a retirada de sangue. O raciocínio por trás da flebotomia é bem simples: as células vermelhas do sangue contem hemoglobina, da qual o ferro é componente importante (normalmente, 70% do ferro no nosso organismo está concentrado na hemoglobina). Com a retirada periódica de sangue o ferro depositado nos tecidos será usado para a formação de novas moléculas de hemoglobina, até que não haja mais excesso (as sangrias são realizadas até que a ferritina fique entre 50 e 100, ou que surja anemia).
Quando os exames voltam ao normal, o intervalo entre as flebotomias aumenta variando de pessoa para pessoa. Com esses cuidados, não costuma surgir anemia significativa durante o tratamento e a evolução da doença é interrompida, não levando a progressão das lesões nos órgãos-alvo (embora a regressão de lesões já estabelecidas geralmente não ocorra, aumentando a necessidade do diagnóstico e tratamento precoces). A dieta com pouco ferro não muda a eficácia do tratamento, só pode reduzir um pouco a frequência das flebotomias. Se for para tomar algum cuidado com a dieta, evite comer vitamina C (principalmente frutas cítricas) durante as refeições, pois elas aumentam a absorção do ferro.

A sangria é realizada pelo menos desde o antigo Egito, tanto pelas civilizações ocidentais quanto as orientais. Já foi indicada pelos mais diferentes motivos e com justificativas das quase lógicas às bizarras. Hoje sabemos que apenas uma pequena quantidade de situações se beneficiam da retirada periódica de sangue, sendo a hemocromatose a mais comum.
O intervalo entre as flebotomias, assim como a quantidade de sangue retirado de cada vez, varia de serviço para serviço e geralmente é realizado em bancos de sangue. Como bônus, se não houver outras doença o sangue pode ser doado e salvar mais uma vida!
Quelação
Outra opção de tratamento, usada especialmente nos que não toleram a flebotomia pela presença de anemia, é a quelação (uso de medicação que se une a íons metálicos e é eliminada do organismo). O único agente quelante utilizado disponível até há pouco tempo era a desferrioxamina (DFO), medicação usada por via endovenosa geralmente com uma bomba de infusão, pois a aplicação deve ser feita lentamente (entre 8 a 12 horas) ou por via subcutânea. Apesar dos benefícios, a medicação é tóxica, levando a irritação no local da aplicação, deformidades ósseas, retardo no crescimento de crianças e efeitos neurotóxicos visuais e auditivos.
Recentemente, a deferiprona (ferriprox®) e o deferasirox (exjade®) foram introduzidos como opções mais acessíveis, pela sua administração oral, eficácia comparável à desferrioxamina e menor índice de efeitos colaterais. No entanto, pode levar a efeitos colaterais como agranulocitose, leucopenia, artralgia, náuseas e vômitos, dor abdominal e hepatotoxicidade, não sendo portanto uma opção razoável à flebotomia nos pacientes sem contra-indicação a esse procedimento.
Assim, a quelação é recomendada apenas na hemocromatose adquirida secundária a anemias, onde a flebotomia acaba sendo impossibilitada.

Sequencia de diagnóstico e tratamento da hemocromatose conforme diretriz do Colégio Americano de Gastroenterologia. Pessoalmente, acho que a biópsia hepática em * é desnecessária na maioria das vezes.
Eritrocitaférese
A eritrocitaférese é um procedimento muito semelhante à flebotomia, mas ao invés de retirar o sangue, ele passa por uma máquina com um filtro que retira apenas as células vermelhas do sangue. O resultado é o mesmo, com a diferença de que tira apenas as células, não perde plaquetas, proteínas e outras substâncias do sangue, o que permite que sejam retiradas mais hemácias por sessão e o número de sessões é menor. Só que é mais complexo, demorado, especializado e bem mais caro.
Transplante hepático
Nos casos de cirrose avançada, pode ser indicado o transplante do fígado. Apesar de não ser tratamento para a hemocromatose hereditária em si, o fígado transplantado produzirá hepcidina normal, levando a cura da hemocromatose.
PROGNÓSTICO
Como em muitas doenças crônicas, o resultado do tratamento depende diretamente do estágio em que foi feito o diagnóstico. Se for descoberto na fase inicial, ou por exames de rotina ou por rastreamento de familiares de alguém com diagnóstico, é possível que o tratamento evite completamente o desenvolvimento de doenças, levando a uma vida perfeitamente normal (exceto com doações de sangue de vez em quando).
Se o diagnóstico foi feito tardiamente, o tratamento melhora a fadiga, a disfunção cardíaca e a lesão hepática, mesmo que não melhore o diabetes, artralgias ou hipogonadismo, que podem ser controlados de outras formas.
Nenhuma outra doença genética tem tratamento tão fácil e eficaz. O diagnóstico de hemocromatose não significa de modo algum que não se pode viver uma vida plena, portanto se é o seu caso procure um médico, aprenda sobre a sua situação e dê a volta por cima !

GRUPO DE APOIO
Para conversar com outros portadores, trocar experiências e receber mais informações voltadas a direitos dos portadores de hemocromatose, recomendo visitar o site do Grupo Brasileiro de Hemocromatose Hereditária.
REFERÊNCIAS
- Bret L. Hicken, Diane C. Tucker, James C. Barton. Patient compliance with phlebotomy therapy for iron overload associated with hemochromatosis . The American Journal of Gastroenterology, Volume 98, Number 9 (September 2003), pp. 2072-2077
- Barton JC, McDonnell SM, Adams PC, et al. Hemochromatosis Management Working Group: Management of hemochromatosis. Ann Intern Med 1998;129:932–9.
- Fabron JR, Antonio and Tricta, Fernando. Oral iron chelator therapy with deferiprone in patients with overloaded iron. Rev. Bras. Hematol. Hemoter., 2003, vol.25, no.3, p.177-188
- Powell, LW. Recent concepts in iron metabolism and HFE mutations . Journal of Gastroenterology and Hepatology, Volume 19, Supplement 7 (December 2004), pp. S258-S263
- OMIM. Hemochromatosis. In: McKusick VA, ed. Online Mendelian Inheritance in Man. Baltimore: Johns Hopkins University, 2000. (link)
- Deugnier, B. Turlin. Iron and hepatocellular carcinoma. Journal of Gastroenterology and Hepatology, Volume 16, Number 5 (May 2001 ), pp. 491-494
- Edmund Cauza, Markus Peck-Radosavljevic, Herbert Ulrich-Pur, Christian Datz, Michael Gschwantler, Maximilian Schöniger-Hekele, Franz Hackl, Claudia Polli, Susanne Rasoul-Rockenschaub, Christian Müller, Friedrich Wrba, Alfred Gangl, Peter Ferenci. Mutations of the HFE gene in patients with hepatocellular carcinoma . The American Journal of Gastroenterology, Volume 98, Number 2 (February, 2003), pp. 442-447
- Naveen Sharma, Jeffrey Butterworth, Brian T. Cooper, C. Tselepis, Tariq H. Iqbal. CLINICAL REVIEWS The Emerging Role of the Liver in Iron Metabolism . The American Journal of Gastroenterology, Volume 100, Number 1 (January 2005), pp. 201-206
- Zeid Kayali, Rostislav Ranguelov, Frank Mitros, Chrisandra Shufelt, Farshad Elmi, Stephen C. Rayhill, Warren N. Schmidt, Kyle E. Brown. Clinical Studies Hemosiderosis is associated with accelerated decompensation and decreased survival in patients with cirrhosis . Liver International, Volume 25, Number 1 (February 2005), pp. 41-48
- Eugenia Lauret, Manuel Rodríguez, Segundo González, Antonio Linares, Antonio López-Vázquez, Jes Martínez-Borra, Luis Rodrigo, Carlos López-Larrea. HFE gene mutations in alcoholic and virus-related cirrhotic patients with hepatocellular carcinoma. The American Journal of Gastroenterology, Volume 97, Number 4 (April 2002), pp. 1016-1021
- Tavill, AS. Diagnosis and Management of Hemochromatosis. AASLD Practice Guidelines, Hepatology, 2001
- Kang, L., Pedersen, N. Quackery – A Brief History of the Worst Ways to Cure Everything. Workman Publishing, 2017
- MARTINELLI, Ana L.C. Hemocromatose Hereditária: muito além do HFE. Soc. Bras. de Hepatologia. Acessado em 30 de maio de 2016. Disponivel <http://sbhepatologia.org.br/fasciculos/26.pdf>
- Agostinho MF, Arruda VR, Basseres DS, Bordin S, Soares MC, Menezes RC, Costa FF, Saad ST. Mutation analysis of the HFE gene in Brazilian populations. Blood Cells Mol Dis. 1999;25:324-3.
- Brissot, P., Pietrangelo, A., Adams, P. et al. Haemochromatosis. Nat Rev Dis Primers 4, 18016 (2018). https://doi.org/10.1038/nrdp.2018.16
- Kowdley, Kris V. MD, FACG1; Brown, Kyle E. MD, MSc2,3,4; Ahn, Joseph MD, MS, MBA, FACG (GRADE Methodologist)5; Sundaram, Vinay MD, MSc6 ACG Clinical Guideline, The American Journal of Gastroenterology: August 2019 – Volume 114 – Issue 8 – p 1202-1218 doi: 10.14309/ajg.0000000000000315
- Castiella A, Zapata E, Alústiza JM. Non-invasive methods for liver fibrosis prediction in hemochromatosis: One step beyond. World J Hepatol. 2010;2(7):251‐255. doi:10.4254/wjh.v2.i7.251
Artigo criado em: 2003
Última revisão: 05/06/2020

