Dr. Emilio Augusto Campos Pereira de Assis
Dr. Stéfano Gonçalves Jorge
Chamamos de histologia o estudo dos tecidos. Apesar dos avanços tecnológicos nas últimas décadas e o surgimento de técnicas avançadas de imagem e biologia molecular, o diagnóstico e decisões pertinentes ao tratamento de doenças do fígado ainda depende da análise morfológica do tecido hepático.
Nos últimos anos, o enfoque da histologia mudou – antes, era concentrada no diagnóstico, agora ela busca trazer informações sobre a integridade estrutural, o tipo e grau de injúria e a resposta do organismo a injúria, sendo necessário para isso além da morfologia convencional, técnicas especiais de histoquímica (coloração de Gomory e Sirius-red para avaliar a fibrose, e Perl´s para avaliação de depósito de ferro, por ex.). Com isso, a avaliação da histologia traz informações que dão a base ao estadiamento da doença e à monitorização do tratamento, incluindo transplante.

A biópsia hepática é um procedimento invasivo que requer médico experiente e bem treinado na técnica em que utiliza. A maioria das biópsias é realizada em pacientes internados, mas pode também ser realizada ambulatorialmente em pacientes selecionados, com baixíssimo risco de complicações.

A técnica mais utilizada é a percutânea (pela pele) às cegas, mas cada vez se usa mais a técnica guiada por ultra-som ou tomografia, que é particularmente útil nos casos em que o fígado é pequeno ou é necessária biópsia de uma lesão focal, como um câncer. Outras técnicas incluem a via torácica transpulmonar quando é necessária coleta de material subdiafragmático, a via transvenosa (femoral ou jugular) nos casos de distúrbios de coagulação e ascite (que impedem a biópsia percutânea) e a via cirúrgica (nas mesmas situações).

As agulhas utilizadas podem ser de corte ou aspiração e de vários calibres. Apesar das agulhas aspirativas de fino calibre serem suficientes para histologia e citologia de tumores, quando o objetivo é a análise estrutural do tecido é necessária uma amostra maior. Mesmo assim, espécimes colhidos por agulhas representam apenas cerca de 1/50.000 do órgão, que pode ter níveis diferentes de atividade e acometimento da doença dependendo da região, levando a uma avaliação errônea. Na hepatite, a região mais superficial, abaixo da cápsula, costuma apresentar mais fibrose, levando a um diagnóstico pior que o real. Na cirrose, o parênquima no interior de um nódulo pode ser normal, levando a um diagnóstico erroneamente otimista. A maioria das lesões do fígado, no entanto, é difusa e tende a ser homogênea.

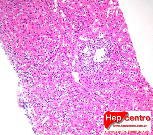
Um fígado é composto por inúmeras unidades básicas chamadas lóbulos hepáticos, ele (o lóbulo hepático) é organizado formando uma estrutura similar À um hexágono foto 1, sendo que em cada vértice encontramos uma estrutura chamada trato portal, que é composta por um ramo da veia porta, um ramo da artéria hepática e um ramo de um duto biliar, estas estruturas se apoiam em um tecido conjuntivo, e no centro do hexágono existe uma veia, chamada de veia centro lobular.

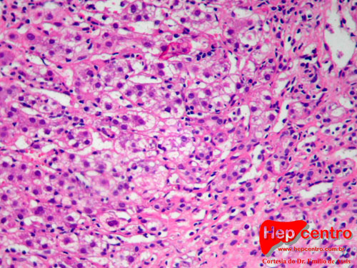
Entre o trato portal e a veia centro lobular estão as células do fígado propriamente dito, os hepatócitos. Os hepatócitos possuem vários papéis no metabolismo do ser humano, atuando como um dos principais responsáveis pela metabolização de uma série de substâncias (alimentos, medicamentos etc.) e eles são divididos por zonas, de acordo com sua relação com o trato portal e a veia centro lobular, os que estão em volta do trato portal são os hepatócitos da zona 1, os que estão em volta da veia central são os da zona 3, e os que ficam no meio são os da zona 2. Esta divisão é importante, pois por conta da localização dos hepatócitos as alterações sofridas por eles tem significados diferentes na interpretação final.

Entre os hepatócitos existem diminutos vasos chamados capilares sinusóides, por onde passa o sangue e se unem para formar a veia centro lobular, dentro deles, além das células endoteliais (que revestem todos os vasos) existem macrófagos especializados chamados células de Kupffer.

A análise de uma biópsia hepática busca analisar estas estruturas, se estão alteradas, sendo agredidas, e a resposta a agressão, que varia de acordo com o tipo de agressão, sua intensidade e de indivíduo para indivíduo.
As alterações básicas que são vistas podem ser classificadas da seguinte maneira:
|
Alterações agudas – doença aguda necroinflamatória (hepatite aguda) | |
| Apoptose | Morte celular programada desencadeada por um estímulo (externo ou interno à célula, drogas, toxinas, inflamação etc.). |
| Degeneração hidrópica (ou balonização) | As células possuem um mecanismo de regulação da entrada de água dentro delas, quando por algum motivo ele fica prejudicado pode entrar um excesso dela. |
| Necrose | Morte celular por um estímulo externo lesivo (vírus, toxina etc.). |
| Regeneração | Ao sofrerem qualquer tipo de agressão os hepatócitos se regeneram, e podem assumir alguns padrões, como o pseudoacinar (imitando uma formação de glândula). |
| Hipertrofia de células de Kupffer | Ao processarem muitas substâncias (dejetos celulares, nutrientes, medicamentos, etc.) os macrófagos podem ficar hipertrofiados. |
| Dilatação sinusoidal | Isto acontece quando o afluxo nos capilares é maior que o normal, o que pode ser por uma obstrução dos vasos (por fibrose por exemplo) ou por um aporte maior neles (em infecções por EBV com esplenomegalia ou em neoplasias por ex.). |
| Existem ainda outros padrões como hepatite neonatal (onde se vêem células gigantes), hepatite colestática (onde há o acúmulo de bile nos hepatócitos), hepatite com necrose maciça ou submaciça (este caso é um risco de vida, pois devido a falência hepática se instalar rapidamente em muitos casos não há tempo hábil para se tomar as medidas cabíveis). | |

|
Alterações crônicas (algumas vezes são observadas alterações agudas em doenças crônicas, que são resultado de atividade da doença). | ||
| Inflamação portal | Em todas as formas de hepatites crônicas há um infiltrado inflamatório portal, que muda o padrão de acordo com a doença de base. | Hepatite C – observa-se um infiltrado inflamatório portal composto por linfócitos formando folículos linfóides. |
| Hepatite autoimune – observa-se um infiltrado inflamatório portal com a presença de plásmócitos (eles não são exclusivos de doenças autoimunes, entretanto sua presença é um marcador morfológico sugestivo dela). | ||
| Resposta à hepatotoxicidade – observa-se um padrão misto com predomínio de linfócitos (pode-se ter raros plasmócitos) e a presença de eosinófilos. | ||
| Agressão aos ductos | Mesmo todas hepatites possuindo infiltrado portal, poucas vezes é vista agressão aos ductos biliares, e ao se ver pode ser indicativo de uma afecção específica. | Cirrose biliar primária – muito variável observando-se degeneração hidrópica, com hiperplasia do epitélio e proliferação ductular. |
| Colangite esclerosante – irregularidade e atrofia do epitélio, com parcial obliteração do lumem. | ||
| Resposta a hepatotoxicidade – agressão inflamatória de granulócitos, com obliteração do lumem. | ||
| Hepatite C – degeneração hidrópica do epitélio. | ||
| Hepatite de interface (piecemeal necrosis ou necrose em sacabocado) | É chamada desta maneira quando o infiltrado inflamatório portal (qualquer que seja ele, e em qualquer doença) sai de dentro do trato portal e passa a agredir os hepatócitos no lóbulo hepático. Como a esteatose, é completamente inespecífica, podendo ser vista em todas as afecções. | |
| Injúria do parênquima | É quando os hepatócitos são agredidos (normalmente por inflamação) e se alteram de alguma maneira, os padrões que se observam são similares aos de doenças agudas (regeneração, degeneração hidrópica e necrose são as mais comuns). | |
| Esteatose (acúmulo de triglicérides e colesterol dentro dos hepatócitos) – Vale a pena destacar a esteatose, uma alteração extremamente comum em fígados, que pode ser resultado de uma dieta com excesso de gordura (mas sem ser uma doença propriamente dita), uma agressão por vírus da hepatite ou por substâncias tóxicas (como o álcool por exemplo). | ||
| Núcleos glicogenados – é o acúmulo de glicogênio dentro dos núcleos, pode ser resultado de uma esteatose hepática, de uma resposta a uma injúria hepatotóxica (como intoxicação por metais pesados, visto na Doença de Wilson). | ||
| Corpúsculos de Mallory – são condensações grosseiras de proteínas do citoesqueleto da célula, normalmente são vistos em hepatócitos na zona 3 em agressão ao fígado por álcool, mas podem ser visualizados em outras situações. | ||
| Fibrose | Após a agressão, o fígado começa a se regenerar, e quando isso acontece, há uma substituição dos hepatócitos agredidos/mortos (necrosados) por fibrose, dependendo do tempo, intensidade e da extensão da agressão, esta fibrose pode ser reversível, ou então ela pode progredir e formar septos. | Expansão portal sem septos (Fibrose grau 1). |
| Fibrose portal com emissão de septos finos/incompletos ou septo atravessando toda a espessura da amostra (Fibrose grau 2). | ||
| Fibrose portal com emissão de septos completos (Fibrose grau 3). | ||
| Fibrose portal com emissão de septos que formam nódulos no parênquima (Fibrose grau 4 / Cirrose). | ||
| Atividade inflamatória | A graduação da atividade inflamatória depende se há ou não hepatite de interface, se há ou não focos de inflamação lobular (células inflamatórias no meio do lóbulo hepático), da sua extensão e distribuição. | |
| Depósito de metais pesados | Existem algumas condições em que há o depósito de metais no fígado, os mais comuns são: | Ferro, siderose hepática (na hemocromatose, ou reacional em situações inflamatórias como na hepatite C, ou ainda em pacientes com transplantes de rim). |
| Cobre, na Doença de Wilson. | ||
Depois de se analisar a morfologia, com o auxílio das técnicas histoquímicas, as características encontradas são lançadas em algoritmos específicos para o estadiamento de cada doença (por ex. em casos de hepatite C aplica-se o METAVIR, para esteato-hepatite classificação de doenças gordurosas hepáticas da Sociedade Brasileira de Patologia), com isso tem-se uma avaliação da gravidade e extensão da doença, e por vezes até elucidação diagnóstica (com achados morfológicos atuando como o fiel da balança junto com as características laboratoriais e clínicas).

A gama limitada de reações morfológicas vistas na histologia hepática exige correlação estreita com todos os dados disponíveis de história clínica, exames laboratoriais e de imagem para melhor correlação e interpretação dos achados, que devem ser confrontados com as suspeitas do hepatologista. Apesar de nem sempre ser conclusiva, os melhores resultados da histologia hepática são observados quando o conjunto da história clínica, investigação laboratorial e de imagem, avaliação por hepatologista, técnica correta de coleta e patologista experiente estão em harmonia.
BIBLIOGRAFIA
- Scheuer PJ, Leftkowitch, JH; Liver Biopsy Interpretation. Saunders, 2000
- Schiff´s disease of the liver tenth edition – Schiff et al – ed lippincott Willinas & Wilkins
- Biopsy interpretation of the liver – Geller and Petrovic – ed lippincott Willinas & Wilkins
- Gayotto Doenças do Fígado e Vias biliares -Gayotto e Alves – ed Atheneu
Artigo criado em: 20/06/04
Última revisão: 16/04/11

