
INTRODUÇÃO
A capacidade de regeneração do fígado após lesão cirúrgica ou química é tão impressionante e conhecida há tanto tempo que faz parte das histórias mais antigas da Humanidade. Na mitologia grega Prometeu, o titã que teria criado o homem da argila e dado o fogo para a Humanidade, foi punido por Zeus pelos seus atos. Foi amarrado em uma pedra e todo dia uma águia viria, comeria o seu fígado, que regeneraria por completo à noite e faria o mesmo no dia seguinte.

É claro que na realidade e regeneração do fígado não é tão rápida, mas não deixa de impressionar. Em estudo onde foi retirado 2/3 do fígado (cirurgia que pode ser realizada após trauma ou para retirada de tumores), observou-se que o processo de regeneração começa 5 minutos após o procedimento, e o fígado humano recupera o seu peso anterior entre 8 e 15 dias. No final desse período, observa-se que há até um aumento na quantidade de células em relação ao pré operatório, mas as células excedentes são destruídas e logo a estrutura celular do fígado regenerado é praticamente indistinguível da do fígado normal.

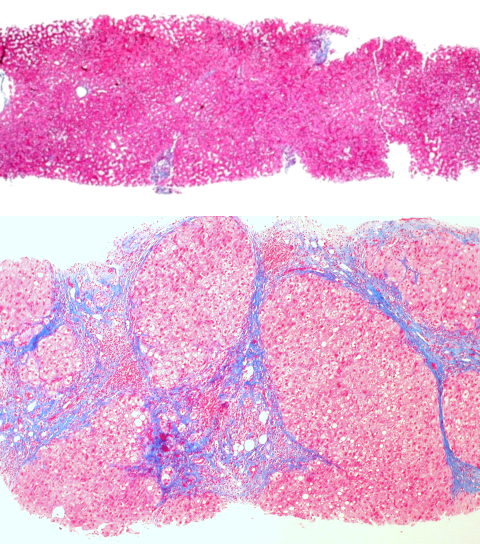
Mas isso é o que acontece com o fígado normal após uma lesão única. Há dezenas de doenças, além de álcool, medicamentos e toxinas que causam destruição das células do fígado ao longo de anos ou décadas. Essas células destruídas são regeneradas, mas ao fazer isso com o tempo vão se acumulando cicatrizes no fígado. Um dia, essas cicatrizes podem ser tantas que o órgão está deformado, cheio de nódulos – o que chamamos de cirrose. Se a destruição das células continua, eventualmente a capacidade de regeneração do fígado se esgota, as células perdidas não são mais repostas e o órgão para de funcionar, o que chamamos de insuficiência hepática. Além disso, no fígado com cirrose as células podem se regenerar com erros, o que pode levar ao surgimento do câncer primário do fígado, o hepatocarcinoma.

Estima-se que aproximadamente 40% dos pacientes com cirrose não apresentam nenhum sintoma. Uma vez que os sintomas se manifestam, no entanto, significa que a doença já está avançada. A cirrose é a 14a. causa de morte em todo o mundo, com 1 milhão de mortes ao ano, e pode ser evitada na maioria dos casos. O paciente com cirrose alcoólica perde em média 12 anos de vida produtiva, muito mais que a cardiopatia (2 anos) e o câncer (4 anos). Esses dados só reforçam a necessidade de um diagnóstico precoce, antes que os sintomas apareçam.
CAUSAS
Qualquer doença que cause destruição das células do fígado ao longo de anos (geralmente mais de uma década) pode levar à cirrose. Esse preconceito está desaparecendo, mas muita gente ainda acredita que a cirrose é uma doença que ocorre apenas em alcoólatras. O alcoolismo e abuso de álcool continuam sendo as causas mais comuns de cirrose em nosso meio (44,2%), mas outras causas comuns são a hepatite C (23,5%) e a hepatite B (4,8%). A esteato hepatite não alcoólica (EHNA) vem aumentando nos últimos anos e, com o controle da epidemia de hepatite C, tende a se tornar a principal causa de cirrose nas próximas décadas.
| Causas de Cirrose | |
| Hepatite autoimune | |
| Lesão hepática induzida por drogas ou toxinas | |
| Lesão hepática induzida pelo álcool | |
| Hepatite viral B, C, D ou não-B não-C | |
| Doenças metabólicas | Deficiência de a 1-antitripsina |
| Doença de Wilson | |
| Hemocromatose | |
| Distúrbios vasculares | Insuficiência cardíaca direita crônica |
| Síndrome de Budd-Chiari | |
| Cirrose biliar | Cirrose biliar primária |
| Cirrose biliar secundária a obstrução crônica | |
| Colangite esclerosante primária | |
| Atresia biliar | |
| Insuficiência congênita de ductos intra-hepáticos (S. Alagille) | |
| Cirrose criptogênica (sem causa definida) | |
Fatores de Risco
- Sexo: Homens: acima de 55 anos estão mais sujeitos a cirrose, doenças biliares e neoplasias hepatobiliares. Mulheres são mais sujeitas a hepatite autoimune quando jovens e na meia-idade, ou cirrose biliar primária acima dos 40 anos (a última é 9 vezes mais frequente em mulheres do que em homens) e são mais predispostas a doença crônica pelo álcool que os homens.
- História familiar: A hemocromatose envolve mais homens que mulheres e é associada a diabetes, cardiopatia e pigmentação de pele. A deficiência de alfa-1 antitripsina é associada a doença pulmonar e aparecimento em pacientes mais jovens. A doença de Wilson é sugerida pela coincidência de anormalidades neurológicas e faixa etária mais jovem.
- Hábitos pessoais e exposições: dentre todos os fatores, o etilismo merece ênfase especial devido à sua prevalência. Em homens, estima-se que o consumo de 60-80 gramas de álcool por dia por 10 anos estabelece risco para o desenvolvimento de cirrose (em mulheres, 40-60 g).
- Antecedentes pessoais: episódios pregressos de hepatite, uso de drogas endovenosas, icterícia ou transfusões sanguíneas aumentam o risco de hepatites virais. Episódios prévios de pancreatite ou hepatite alcoólicas indicam consumo suficiente de álcool para desenvolver cirrose alcoólica. Colecistectomia e cirurgia biliar prévias representam maior risco para desenvolvimento de estenoses biliares e cirrose biliar secundária.
EVOLUÇÃO DA DOENÇA E SUAS COMPLICAÇÕES
Independente da causa da cirrose e com poucas variações entre elas, o processo que leva à cirrose é mais ou menos o mesmo: ocorre inflamação e destruição das células do fígado, particularmente os hepatócitos. Durante o processo de regeneração dessas células, as células esteladas (outro tipo de célula no fígado) são ativadas e promovem a formação de cicatrizes e mudam a estrutura dos vasos sanguíneos hepáticos, os sinusóides.

À medida que esse processo continua, podem surgir complicações da cirrose e o surgimento dos sintomas. Para fins didáticos, vamos separar essas complicações em três categorias distintas, não pela gravidade, mas pelo seu mecanismo principal:
- pela hipertensão portal: varizes esofágicas e gástricas, hiperesplenismo, ascite, síndromes hepatorrenal e hepatopulmonar
- por perda da função hepática: distúrbios da coagulação, encefalopatia hepática, sarcopenia
- pela inflamação crônica: hepatocarcinoma
HIPERTENSÃO PORTAL
Pense em tudo o que você comeu no último dia. Mesmo que sua dieta seja muito boa, apenas parte dos alimentos é diretamente aproveitável pelo organismo. Alguns nutrientes precisam ser transformados antes de se tornarem úteis, as bactérias que ultrapassam a barreira do intestino precisam ser destruídas e as toxinas precisam ser inativadas antes de se espalharem pelo organismo! E o fígado é responsável por tudo isso!

Para que o fígado cumpra essas funções, ele tem uma posição muito particular no sistema circulatório: ao invés de receber o sangue arterial, rico em oxigênio e sob alta pressão vindo direto do sangue, ele recebe o sangue que já passou pelo sistema digestivo e o baço. Assim, parte do oxigênio já foi gasto para nutrir esses órgãos e a pressão que empurra esse sangue já é muito mais baixa. Para dar conta do serviço, o fígado recebe uma suplementação de oxigênio através da artéria hepática, mas a maioria do sangue que entra no fígado é o sangue venoso, rico em nutrientes (e toxinas) que se junta a partir do sistema digestivo e o baço em uma veia única, a veia porta.

Se o fígado está bom, o sangue flui sem dificuldades pelo órgão e chega ao coração, de onde é distribuído pelo resto do corpo. Ao passar pelo fígado, os nutrientes são transformados para o uso e as toxinas são inativadas e encaminhadas para eliminação (pelo sangue, para os rins ou pela bile, para o intestino). Mas se os vasos sanguíneos estão estreitados e tortuosos, como ocorre na cirrose, o sangue não fui com a mesma facilidade e a pressão dentro da veia porta começa a aumentar. E isso leva à dilatação da veia porta, assim como de todas as veias que desembocam nela: em especial as veias que vem do estômago e do esôfago, levando à formação de varizes esofágicas e gástricas, a veia que vem do baço, levando a esplenomegalia e hiperesplenismo e as veias do peritônio, levando a ascite. Indiretamente, a dilatação de todos esses vasos provocam alterações na circulação que podem afetar até os rins (levando à chamada síndrome hepatorrenal) e os pulmões (síndrome hepatopulmonar).

INSUFICIÊNCIA HEPÁTICA
Enquanto a hipertensão portal é uma complicação decorrente da regeneração do fígado, a insuficiência hepática é o que acontece quando o fígado perde a sua capacidade de regeneração, ou quando a destruição de células ultrapassa a capacidade de recuperação. Com a falta de células para cumprir suas funções, o organismo começa a sofrer as consequências.
A ordem em que esses sintomas surgem depende de cada pessoa, mas geralmente começam com náuseas (ânsia de vômito) e digestão lenta, pela redução na produção de bile. À medida em que o fígado vai perdendo mais da capacidade de produzir e excretar bile, começa a surgir a ictéricia, que é o acúmulo de bile no organismo e que aparece como olhos e pele amarelados. Esse depósito de bile na pele também leva a coceira, que pode ser muito intensa.

Pela queda na produção das proteínas que fazem a coagulação de sangue (aliadas ao aumento no baço, que já reduziu a quantidade de plaquetas), começam a surgir hematomas pelo corpo, além de sangramentos com facilidade, como ao escovar os dentes. A redução na produção de proteínas inclui também a albumina, a principal do sangue, e que entre outras funções ajuda a “segurar” a água dentro dos vasos e “chupar” a água que escapa para os tecidos. Com a queda da albumina, pioram os inchaços, principalmente nas pernas, e a ascite.

Como o fígado tem papel na regulação do consumo de energia, na produção de proteínas e na metabolização de hormônios, a insuficiência hepática costuma evoluir com sarcopenia, ou perda muscular, com emagrecimento. Felizmente, esse processo pode ser reversível com dieta adequada e ocasionalmente com suplementos específicos.

Por fim, uma das últimas funções do fígado afetadas pela cirrose é a eliminação de toxinas da dieta e as produzidas no intestino, particularmente a amônia. O acúmulo da amônia leva à encefalopatia hepática, um quadro neuropsiquátrico progressivo que começa com fala arrastada, alterações de comportamento, insônia com sonolência diurna e evolui com desorientação, torpor progressivo e, se não for tratada, coma.
INFLAMAÇÃO CRÔNICA
A formação de cicatrizes e o desenvolvimento de cirrose não é a única consequência do longo processo de destruição e regeneração do fígado ao longo de anos (independente da causa). Cada divisão de células no processo pode ocorrer com erros, e a probabilidade desses erros aumenta com o tempo. Quando já está em estágio de cirrose, os mecanismos de proteção contra erros começam a falhar, e os nódulos fibróticos decorrentes das cicatrizes podem eventualmente dar origem ao hepatocarcinoma, o câncer primário do fígado.
Não são todos os portadores de cirrose que desenvolverão câncer, mas o risco é considerável: em média, considera-se que o risco seja de 5% ao ano. Parece pouco, mas significa que em uma pessoa com cirrose controlada (por exemplo, quem teve cirrose por hepatite C e curou da hepatite, mas a cirrose continua), o risco de câncer é de mais de 50% em 10 anos !

Além de tratar a causa da cirrose quando possível, há pouco que possamos fazer para impedir o desenvolvimento do hepatocarcinoma. Por isso, todo portador de cirrose deve realizar exames periódicos para detectar o câncer ainda em sua fase inicial, quando é curável !
DIAGNÓSTICO
O médico vai suspeitar de cirrose geralmente em três situações: quando a doença estiver avançada e mostrando sinais de hipertensão portal ou insuficiência hepática; quando estiver acompanhando uma doença do fígado como hepatite e a doença avançar até o ponto de cirrose e quando fizer exames de rotina ou por outros motivos e foram observadas alterações no fígado.

Essas alterações podem ser aumento de AST (TGO) e ALT (TGP), sugerindo lesão em atividade no fígado, redução de albumina e aumento de bilirrubina sugerindo insuficiência hepática ou outras anormalidades. Para saber mais, leia os artigos:
Como a cirrose é o acúmulo de cicatrizes (fibrose) com a formação de nódulos, o diagnóstico pode ser feito com a coleta de biópsia ou exames de imagem mostrando essas alterações. Outros procedimentos mais modernos, como a elastografia, vão demonstrar o quanto o fígado está endurecido, mas isso também pode ser calculado com base em exames laboratoriais comuns, usando índices como o APRI e o Fibrotest.

Na prática, a maioria dos pacientes não precisa de biópsia para confirmar o diagnóstico e nem sempre os exames de imagem vão deixar claro se tem ou não cirrose, mas o diagnóstico é feito por médico experiente baseado no conjunto de alterações físicas e achados de exames, incluindo os laboratoriais, de imagem e endoscopia.
TRATAMENTO
Como a cirrose é basicamente o acúmulo de cicatrizes, não há nenhum tratamento eficiente no momento. Apesar de muitas pesquisas, não conseguimos encontrar uma medicação que desfaça essas cicatrizes e, principalmente, recupere a capacidade das células do fígado de se regenerarem. O tratamento, portanto, é mais focado em interromper a progressão da doença que levou à cirrose, para retardar e em alguns casos evitar o surgimento das complicações.
Além do tratamento da doença de base, o portador de cirrose pode apresentar diversas consequência comuns que devem ser investigadas e tratadas adequadamente, entre elas a hemorragia por varizes esofágicas, a ascite (e peritonite bacteriana espontânea), a desnutrição, a encefalopatia hepática e o hepatocarcinoma.

O único tratamento definitivo para a cirrose hepática é o transplante de fígado, onde o fígado cirrótico é substituído (por um fígado inteiro, no caso de doador falecido, ou de parte dele, no caso de transplante intervivos). Como é uma cirurgia de grande porte, com riscos consideráveis, só está indicada na cirrose avançada ou em casos específicos, como nos portadores de câncer hepático. Todos os pacientes em acompanhamento adequado com médico realizam exames periodicamente para avaliar o estado do fígado e, se houver indicação de transplante, serão encaminhados para o serviço de transplante mais adequado. Como a lista de transplante é por gravidade da doença, e não por ordem de entrada, não há mais necessidade de “entrar na fila mais cedo”, confie que o especialista saberá a hora certa !
CUIDADOS NA CIRROSE
Dieta
Não há uma dieta para isso, mas alguns cuidados são necessários. Primeiro, com a cirrose há a tendência a perder massa muscular, para evitar isso o recomendável é não ficar mais de 4 horas em jejum (exceto de madrugada, claro). Faça lanches saudáveis ao longo do dia, desde quando acorda até logo antes de deitar. Uma dieta balanceada, sem excesso de sal e gorduras e consultas regulares com nutricionista também ajudam.
Atividade física
A atividade física regular ajuda em tudo. Dependendo do grau da cirrose e outras condições, como doença cardíaca e ortopédica, podem existir limitações, converse com o seu médico antes de fazer atividades mais intensas que caminhadas.
Vacinas
Como na cirrose há comprometimento da imunidade e infecções podem prejudicar o fígado, evitar problemas preveníveis é sempre uma boa ideia. A recomendação é seguir o calendário vacinal, mas evitar vacinas feitas com vírus atenuado (onde o vírus está vivo, mas pouco funcional).
Sugestão de esquema vacinal para portadores de cirrose (Casella G, Ingravalle F, Ingravalle A, Andreotti S, Bonetti F, Monti C, Falbo R, Rumi MG. Approaches for Selective Vaccinations in Cirrhotic Patients. Vaccines. 2023; 11(2):460. https://doi.org/10.3390/vaccines11020460)
| Vacina | Agendar |
| Hepatite A | 2 doses em 0-6 meses |
| Hepatite B | 3 doses em 0-1-6 meses com vacinas antigas ou 2 doses 0-1 meses com a nova vacina HEPB-CpG |
| Gripe | Anual com vírus inativado |
| Pneumococo | PCV 20 ou PCV15 seguido de PPSV23 1 ano após (mas 2 meses após em pacientes mais imunocomprometidos) |
| Meningococo | Regime de 2-3 doses, particularmente em áreas endêmicas e pacientes com deficiência de complemento e hipoasplenismo |
| Herpes zoster | 2 doses em 0-2 meses em pacientes > 50 anos (vacina recombinante, não atenuada) |
| COVID-19 BNT 162b2 mRNA (BioNtech e Pfizer) COVID-19 mRNA-1273 (Moderna) | 0 e 21 dias 0 e 28 dias |
| Tétano, difteria e coqueluche | A cada 10 anos |
| Sarampo, rubéola e caxumba | Em paciente que nunca tiveram sarampo se não houver contraindicação a vacina viva |

PREVENÇÃO
Se não há tratamento para reverter a cirrose, é importante diagnosticar a doença em sua fase inicial ou, melhor ainda, antes que ela comece. Tratar o abuso de álcool e o alcoolismo, por exemplo, pode impedir a cirrose alcoólica. A hepatite C, que até há pouco tempo dificilmente era controlada, pode ser completamente erradicada nas próximas décadas.

Mesmo em doenças em que não há cura, como na hepatite autoimune ou na colangite biliar primária, o tratamento pode prorrogar em muito, e algumas vezes até evitar, a progressão para a cirrose. Portanto, o diagnóstico precoce, seja através de exames de rotina ou a investigação dos familiares de portadores de doenças genéticas, pode mudar completamente a evolução da doença e salvar vidas.
BIBLIOGRAFIA
- Michalopoulos, GK. Liver regeneration. J Cell Physiol. 2007;213(2):286-300.[online]
- Tsochatzis EA, Bosch J, Burroughs AK. Liver cirrhosis. Lancet. 2014 May 17;383(9930):1749-61. doi: 10.1016/S0140-6736(14)60121-5. Epub 2014 Jan 28. Review. PMID: 24480518
- Mokdad AA, Lopez AD, Shahraz S, Lozano R, Mokdad AH, Stanaway J, Murray CJ, Naghavi M. Liver cirrhosis mortality in 187 countries between 1980 and 2010: a systematic analysis. BMC Med. 2014 Sep 18;12:145. doi: 10.1186/s12916-014-0145-y
- Edlin, B. R., & Winkelstein, E. R. (2014). Can hepatitis C be eradicated in the United States? Antiviral Research, 110, 79–93. doi:10.1016/j.antiviral.2014.07.015
- Qulici, F et al. A Gastroenterologia no Século XXI. Editora Manole, 2018
- Al-Dury, S.; Kanberg, N. Advancements in Vaccine Strategies for Chronic Liver Disease Patients: Navigating Post-COVID Challenges and Opportunities. Vaccines 2024, 12, 197
- Casella G, Ingravalle F, Ingravalle A, Andreotti S, Bonetti F, Monti C, Falbo R, Rumi MG. Approaches for Selective Vaccinations in Cirrhotic Patients. Vaccines. 2023; 11(2):460. https://doi.org/10.3390/vaccines11020460
Artigo criado em: 2001
Última revisão: 09/10/2024

