INTRODUÇÃO
Os abscessos hepáticos são conhecidos desde a época de Hipócrates. São definidos como coleções de tecido supurativo (pus) no interior do fígado, decorrentes de infecções (no Ocidente, a grande maioria é por bactérias, que será o foco desse texto), neoplasia e iatrogenias (procedimentos médicos).

Até por volta de 1900, a principal causa eram as apendicites complicadas. Com a evolução dos tratamentos dessas, as doenças biliares se tornaram as principais responsáveis, mas hoje em dia cada vez mais aumenta a proporção de abscessos decorrentes de tratamentos de tumores hepáticos (por quimioembolização ou ablação por radiofrequência), que necrosam e infeccionam.
Em 1938, Ochsner e colaboradores definiram o tratamento cirúrgico como o mais adequado. Com o advento dos antibióticos, McFadzean e associados preconizaram a aspiração fechada com antibioticoterapia para o tratamento dos abscessos solitários em 1953. Esse tratamento foi relativamente esquecido, e a drenagem cirúrgica aberta continuou como o tratamento de escolha.

Com o aparecimento de novas técnicas de diagnóstico por imagem, que permitiam a localização precisa da lesão, desenvolveram-se nos anos 80 a aspiração e a drenagem percutâneas guiadas por imagem.
FISIOPATOLOGIA
Há vários fatores de risco tanto para o surgimento quanto para a mortalidade pelos abscessos hepáticos. Em especial, diabetes, cirrose e sexo masculino são risco para ambos.

As bactérias piogênicas chegam ao fígado por vários caminhos. A doença do trato biliar é responsável por grande porcentagem dos casos, e pode ocorrer por obstrução maligna, benigna ou iatrogênica da árvore biliar, com colangite. Antes do advento dos antibióticos, a disseminação, por via portal, de bactérias, ocorria na diverticulite e apendicite. Na infância, ocorre mais frequentemente por infecção na veia umbilical. Disseminação via artéria hepática ocorre durante bacteremia por endocardite, osteomielite ou outros. A disseminação por contiguidade permite o acesso bacteriano ao fígado em abscessos subfrênicos ou pneumonias. Lesões penetrantes permitem a infecção direta.
| Etiologia ( 83 casos ) | Lobo Direito | Lobo Esquerdo | Bilobar | Total (%) |
| Criptogênico | 33 | 3 | 1 | 45 |
| Hepatolitíase | 12 | 16 | 2 | 36 |
| Colelitíase | 4 | 1 | 1 | 7 |
| Estenose ducto biliar comum | 0 | 0 | 2 | 2 |
| Carcinoma hepatocelular | 2 | 0 | 0 | 2 |
| Colangiocarcinoma | 3 | 0 | 0 | 4 |
| Piemia portal | 1 | 0 | 0 | 1 |
| Hematogênica | 1 | 0 | 1 | 2 |
| Chu, K. et al.: Pyogenic Liver Abscess: An Audit Experience Over Past Decade. Arch Surg. 1996; 131:148-152 | ||||

Rotas de infecção que levam ao abscesso hepático (fonte)
As bactérias também mudaram com o passar do tempo. Antes de 1980, a mais comum era a Escherichia coli, mas atualmente é a Klebsiella pneumonia, para a qual os diabéticos são especialmente mais susceptíveis.
| Bactérias mais comuns | |
| Aeróbicas | Anaeróbicas |
| Escherichia coli | Streptococcus anaeróbicos |
| Klebsiella | Streptococcus microaerofílicos |
| Streptococcus viridans | Bacteroides |
| Staphylococcus aureus | Fusobacterium |
| Enterococcus | Clostridium |
| Proteus | Actinomyces |
| Pseudomonas | Eubacterium |
| Enterobacter | Propionilbacterium |
| Listeria | |
| Yersinia | |
| Goldman, I. S.: Hepatology: A Textbook Of Liver Disease, 1995 | |
Os abscessos piogênicos podem ser únicos ou múltiplos. A maioria dos simples está localizada no lobo direito. A maioria dos provenientes da veia porta são únicos, enquanto aqueles de origem biliar são múltiplos.
| ABSCESSOS | Simples | Múltiplos |
| Dor abdominal | Mais freqüente | Menos freqüente |
| Icterícia | Menos freqüente | Mais freqüente |
| Alterações laboratoriais | Menores | Maiores |
| Tamanho | > 5 cm | < 5 cm |
| Localização | Lobo direito | Lobo direito ou ambos |
| Etiologia | Criptogênica (58,9%) | Biliar (45,0%) |
| Mortalidade | 12,8% | 22,1% |
| Chou, F.: Single and Multiple Pyogenic Liver Abscess. World J. Surg. 21, 384-389, 1997 | ||
Abscessos malignos ocorrem em tumores primários (hepatocarcinoma), tanto por necrose no centro do tumor quanto por obstrução das vias biliares, quanto secundários (metástases), sendo mais raras nesses. Mas os abscessos malignos mais comuns são os relacionados ao tratamento desses tumores.

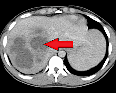
Imagens de um homem de 41 anos com hepatocarcinoma primário evoluindo com abscesso após quimioembolização transarterial. (a) imagem após primeira QE; (b) imagem após segunda sessão; (c) imagem após a segunda sessão mostrando abscesso; (d) imagem após drenagem percutânea do abscesso (fonte)
Tanto os tumores primários quanto metástases podem ser tratados por quimioembolização transarterial (TACE) ou ablação por radiofrequência (RFA). Ambos os métodos produzem necrose (morte) do tumor e da região ao seu redor, deixando um tecido que pode se infectar. O risco é muito baixo, não havendo no momento indicação clara de antibioticoterapia profilática nesses procedimentos, mas como eles se tornaram mais frequentes a sua participação nos casos de abscesso está aumentando.
Os abscessos iatrogênicos são mais comuns após manipulações da via biliar, especialmente esfincterotomia e colocação de próteses biliares. Também pode ocorrer após cirurgias hepáticas e outros procedimentos no sistema digestório.
ACHADOS CLÍNICOS
A idade média dos pacientes têm subido nas últimas décadas. Isso reflete a mudança na etiologia dos abscessos hepáticos.
| Sinais e sintomas | % |
| Dor abdominal | 89 |
| Febre | 67 |
| Calafrios | 48 |
| Anorexia | 27 |
| Adinamia | 17 |
| Emagrecimento | 13 |
| Confusão mental | 7 |
| Dor em hipocôndrio direito | 70 |
| Icterícia | 24 |
| Hepatomegalia | 7 |
| Ascite | 2 |
| Chu, K. et al.: Pyogenic Liver Abscess: An Audit Experience Over Past Decade. Arch Surg. 1996; 131:148-152 | |
ACHADOS LABORATORIAIS
| Achados laboratoriais | % |
| Hemoglobina < 10 g/L | 13 |
| Leucócitos > 10.109/L | 89 |
| Albumina < 35 g/dL | 67 |
| Bilirrubina total > 40 m mol/L ( > 2,3 mg/dL ) | 22 |
| Fosfatase alcalina > 110 U/L | 92 |
| Chu, K. et al.: Pyogenic Liver Abscess: An Audit Experience Over Past Decade. Arch Surg. 1996; 131:148-152 | |
IMAGEM
O diagnóstico do abscesso hepático é feito em 90% dos casos por exames de imagem, que podem também mostrar a causa. O RX de tórax é anormal em cerca de 50% dos pacientes. Os achados incluem a elevação do diafragma o nível hidroaéreo dentro da massa hepática ou ambos. O ultrassom de abdome (acurácia 83%) detecta a lesão em 80-100% dos casos. A aparência característica é a de uma área circular ou oval dentro do parênquima hepático, hipoecogênica.

A. O US mostra abscesso como uma lesão hipoecogênica com área heterogênea central consistente com septações e debris (seta azul). B. Doppler colorido mostra a hipervascularidade ao redor da cavidade central (fonte).
A tomografia computadorizada (acurácia 93%) revela lesões hipodensas e hipocaptantes, com halo e septos hipercaptantes. A ressonância nuclear magnética também pode ser usada, mas a CT continua o método de escolha. A colangiografia pode ser realizada para identificar cálculos do ducto biliar comum, que podem necessitar de extração endoscópica, ou estenoses e litíase intra-hepáticas, que podem exigir cirurgia definitiva ou ressecção hepática.
COMPLICAÇÕES
A maioria das complicações vêm da ruptura ou extensão do abscesso para estruturas adjacentes. Em alguns estudos, o envolvimento pleuropulmonar ocorreu em 15%, enquanto abscessos subfrênicos ocorreram em 3% dos pacientes.
TRATAMENTO
Antibioticoterapia
Existe a possibilidade de tratamento apenas com antibioticoterapia se o paciente tiver abscesso menor que 3 a 5 cm de diâmetro, mas pelo risco de falência do tratamento seria melhor tentar o tratamento medicamentoso sozinho apenas em pacientes com lesões de difícil acesso para drenagem (localização tecnicamente ruim para o procedimento) ou com outras contra indicações para o mesmo. Se esse for o tratamento escolhido, deve ser iniciado apenas após a coleta de hemoculturas com o objetivo de encontrar o agente infeccioso. Uma vez que o resultado da cultura pode levar vários dias, é aconselhável o tratamento empírico até então. Este deve cobrir Gram positivos, negativos e anaeróbios. A duração do tratamento varia de 2 a 3 semanas endovenosamente, seguido de tratamento por via oral por mais 1 ou 2 semanas até 3 semanas endovenoso mais 1 a 2 meses oral. A duração total do tratamento pode ser guiada por métodos de imagem, resolução da febre e da leucocitose.

Drenagem percutânea
A drenagem com sucesso é observada em 80 a 90% dos casos. A suspeita de multiloculação ou múltiplos abscessos não contra-indica a drenagem percutânea, que pode ser realizada efetivamente guiada por ultrassom com a colocação de mais de um cateter (conforme demonstrado por Tazawa e colaboradores).
A combinação da drenagem percutânea e antibioticoterapia permanece o tratamento de escolha do abscesso hepático, pela sua alta efetividade, baixa taxa de complicações e pela possibilidade de coleta de material para culturas e histologia, quando há dúvidas em relação à etiologia do abscesso.
Aspiração percutânea
Há duas técnicas diferentes para a aspiração percutânea. A mais simples consite na drenagem simples do abscesso, com anestesia local e agulha, guiada por ultrassonografia ou tomografia. Em abscessos de material mais liquefeito, com cavidade única, sem septos, e pacientes em melhores condições, esse tratamento em conjunto com antibioticoterapia pode ser suficiente.

Aspiração percutânea de abscesso hepático (fonte)
Na maioria dos casos, no entanto, o recomendado é a passagem de um cateter do tipo pigtail para o interior da cavidade, permitindo a drenagem do conteúdo até que não haja mais débito (pare de drenar). Estudos mostram a superioridade desse método em relação à drenagem simples, mas mesmo assim nem sempre é eficaz, falhando em 15-36% dos casos, especialmente naqueles com múltiplos abscessos, septos no interior dos mesmos, conteúdo muito espesso e em pacientes com baixa albumina e abscessos malignos.
Drenagem de abscesso com pigtail demonstrada pelo Dr. Sandeep Sharma
Cirúrgico
A drenagem cirúrgica aberta foi realizada amplamente nos anos 70, sendo indicada como tratamento de escolha até o início dos anos 80. Em geral, é reservada para aqueles pacientes nos quais a drenagem ou aspiração percutânea não obtiveram sucesso, pacientes sépticos, quando ocorre ruptura da lesão ou quando é necessária cirurgia para tratamento da doença de base. A experiência de Herman e colaboradores, do Departamento de Gastroenterologia da FMUSP, de 1975 a 1993 (31 casos) é de bons resultados em 91,5%.

Proposta de algoritmo de tratamento por Mavilia et al
A laparotomia de emergência é indicada nos casos em que há sinais clínicos de peritonite ou deterioração clínica do paciente apesar da aspiração ou drenagem, ou tomografia computadorizada evidenciando abscesso persistente. A chance de que uma laparotomia seja necessária é estatisticamente significante em pacientes com hepatolitíase.
CONCLUSÕES
A mortalidade associada a abscessos hepáticos não tratados é extremamente alta. A taxa de mortalidade foi de 40% nos anos 80. Apesar da melhora contínua nos métodos de imagem, de antibióticos mais potentes e os avanços no conhecimento e tratamento da doença, a mortalidade permanece de 10 a 25%.
O reconhecimento e o diagnóstico do abscesso hepático piogênico é frequentemente atrasado pelos sintomas inespecíficos. Portanto, pacientes com leucocitose e aumento de enzimas hepáticas, com sintomas sugestivos de litíase biliar e submetidos a procedimentos no fígado ou vias biliares devem ser submetidos a tomografia computadorizada ou ultrassonografia com urgência para o diagnóstico precoce e tratamento adequado.
BIBLIOGRAFIA
- Marianna G. Mavilia, Marco Molina, George Y. Wu. The Evolving Nature of Hepatic Abscess: A Review . J Clin Transl Hepatol. 2016 Jun 28; 4(2): 158–168.
- Chu, K. et al.: Pyogenic Liver Abscess: An Audit Experience Over Past Decade. Arch Surg. 1996; 131:148-152
- Malik AA, Bari SU, Rouf KA, Wani KA. Pyogenic liver abscess: Changing patterns in approach. World Journal of Gastrointestinal Surgery. 2010;2(12):395-401. doi:10.4240/wjgs.v2.i12.395.
- Goldman, I. S.: Hepatology: A Textbook Of Liver Disease, 1995
- Chou, F.: Single and Multiple Pyogenic Liver Abscess. World J. Surg. 21, 384-389, 1997
- A Case Series of Liver Abscess Formation after Transcatheter Arterial Chemoembolization for Hepatic Tumors Sun Wei, Xu Fei, Li Xiao, Li Chen-Rui Year : 2017 | Volume: 130 | Issue Number: 11 | Page: 1314-1319
- Mavilia MG, Molina M, Wu GY. The Evolving Nature of Hepatic Abscess: A Review. Journal of Clinical and Translational Hepatology. 2016;4(2):158-168. doi:10.14218/JCTH.2016.00004.
Artigo criado em: 2003
Última revisão: 10/10/18

