
O que é o metanol e por que é usado
O metanol (álcool metílico, CH₃OH) é um solvente industrial muito comum. Entra na composição de fluidos de limpador de para-brisa, descongelantes, tintas, vernizes e adesivos; é insumo na fabricação de plásticos, poliésteres e formaldeído e também aparece como combustível/adição em biocombustíveis.

Vias de exposição e epidemiologia
As três vias principais são ingestão, inalação e absorção cutânea. Os grandes eventos com muitos casos estão quase sempre ligados à adulteração de bebidas, pelo baixo custo; surtos de 2018 no Irã ilustram altas taxas de mortalidade e sequelas visuais. A exposição ocupacional por inalação e contato dérmico também ocorre (observada em trabalhadores da área da saúde durante a pandemia pelo COVID-19, pelo uso constante de methanol para descontaminar as mãos).
Fisiopatogenia — o papel do fígado
- Metabolismo hepático: o metanol é oxidado no fígado pela álcool-desidrogenase (ADH) a formaldeído, rapidamente convertido por aldeído-desidrogenase (ALDH) a ácido fórmico (formiato); esse, por vias dependentes de tetraidrofolato, é finalmente transformado em CO₂ e água.
- Toxicidade do formiato: o formiato inibe a citocromo-c oxidase (complexo IV) na mitocôndria, resultando em hipóxia histotóxica; tecidos com alta demanda oxidativa (retina/neurônio óptico, gânglios da base) são especialmente vulneráveis. A acidose metabólica de alto ânion gap reflete acúmulo sistêmico de ácido fórmico.
- Efeito hepático direto: apesar de os alvo clínicos clássicos serem o nervo óptico e o sistema nervoso central, o fígado pode apresentar elevação transitória de transaminases e alterações histológicas em casos fatais: esteatose micro e macrovesicular, necrose focal, colestase intra-hepatocitária leve e degenerações hidrópica/“feathery” — achados atribuídos a disfunção mitocondrial e hipóxia sistêmica/choque.
- Comorbidades hepáticas (por exemplo, esteatose, doença hepática pelo álcool e outras) podem reduzir a reserva mitocondrial/folato e teoricamente agravar desfechos, embora a literatura clínica aponte o nervo óptico e o SNC como principais alvos de dano irreversível.

Quadro clínico
Há um período de latência (geralmente 12–24 h) entre a ingestão e os sintomas graves, pois a toxicidade decorre de metabólitos, não diretamente do metanol. Os sintomas iniciais podem simular embriaguez leve; com a conversão a formiato surgem cefaleia (dor de cabeça), náusea, vômitos, hiperventilação (respiração acelerada), dor abdominal e, sobretudo, sinais visuais (borramento, “visão de neve”, fotofobia), podendo evoluir a neuropatia óptica e cegueira.
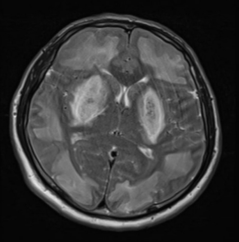
Em casos graves, pode ocorrer acidose metabólica importante, convulsões, coma e choque. Exames podem mostrar gap osmolar elevado (precoce) seguido de ânion gap alto. Achados neurorradiológicos típicos incluem lesões dos gânglios da base (putâmen).

Diagnóstico (essencial à beira-leito)
- Gasometria: acidose metabólica com ânion gap elevado; muitas vezes com hiperventilação compensatória.
- Osmol gap: pode estar elevado nas fases iniciais (parental alto).
- Dosagem de metanol (se disponível) e avaliação sequencial do lactato/formiato; considerar função renal, eletrólitos e enzimas hepáticas.
- Indícios clínicos: qualquer sintoma visual em contexto compatível é um marcador de gravidade.
Tratamento — prioridades e evidências
Observação: as doses e critérios contemplam adultos; em pediatria e gestantes, seguem o mesmo racional com ajustes de dose por peso e a mesma urgência no bloqueio da ADH, correção de acidose e diálise
1) Suporte e correção da acidose
- Bicarbonato de sódio IV para corrigir agressivamente a acidemia (alvo pH ≥7,20–7,30), reduzindo a fração não dissociada do ácido fórmico que penetra no SNC e no nervo óptico. Pode ser necessária dose alta nas primeiras horas.
2) Antídotos (bloqueio da ADH)
- Fomepizol é a terapia de escolha: 15 mg/kg IV (ataque) → 10 mg/kg IV a cada 12 h por 4 doses; depois 15 mg/kg a cada 12 h (autoindução). Durante hemodiálise, encurtar o intervalo para a cada 4 h ou redosar pós-diálise. Alternativa: etanol (se fomepizol indisponível), com monitorização rigorosa.
3) Cofator de folato
- Ácido folínico (leucovorina) ou ácido fólico para acelerar a conversão do formiato: 1 mg/kg (máx. ~50 mg) IV a cada 4–6 h por pelo menos 24–48 h (ajustar com diálise). Evidência de benefício é indireta, mas segurança e racional bioquímico sustentam o uso.

4) Diálise
- A hemodiálise intermitente é modalidade de escolha; contínuas são aceitáveis se a intermitente não estiver disponível.
- Indicar terapia extracorpórea se qualquer dos critérios: coma, convulsões, déficit visual novo, pH ≤ 7,15, acidose persistente apesar de suporte/antídoto, ânion gap > 24 mmol/L, metanol sérico > 700 mg/L (com fomepizol), > 600 mg/L (com etanol) ou > 500 mg/L (sem bloqueio de ADH), e/ou função renal comprometida. Encerrar quando metanol < 200 mg/L e houver melhora clínica. Manter antídoto e folato durante a ECTR.
5) Outras medidas
- Monitorar eletrólitos, função renal/hepática e marcadores de severidade. UTI se acidose grave, necessidade de diálise, instabilidade hemodinâmica ou acometimento neurológico/visual significativo. Oftalmologia precoce nos casos com queixa visual. Revisar e manejar co-ingestões e fatores de risco (p.ex., deficiência de folato).
Prognóstico e sequelas
Mortalidade e sequelas (principalmente cegueira) aumentam com atraso terapêutico e com a gravidade da acidose/formiato. A administração precoce de fomepizol reduz mortalidade e, não raro, evita diálise quando instituída antes da acidose.
Referências chave
- EXTRIP Workgroup — recomendações para ECTR no metanol (critérios e metas de diálise). (extrip-workgroup)
- StatPearls (2025) — toxicidade por metanol, doses de fomepizol, apresentação clínica. (InBio)
- MSF (2023) — protocolo internacional; dose de ácido folínico/fólico. (Intoxicação por Metanol)
- AJKD/NEJM reviews — abordagem terapêutica (bloqueio de ADH, correção de acidose, papel da diálise). (Ajkd)
- Revisões de mecanismo — formiato e inibição do complexo IV (citocromo-c oxidase). (physoc.onlinelibrary.wiley.com)
- Patologia hepática em casos fatais — alterações histológicas. (PubMed)
- Epidemiologia de surtos/OMS — casos e resposta em saúde pública. (Organização Mundial da Saúde)
- EPA. Toxicological review of methanol (noncancer), 2013
- Mashallahi A, Mohamadkhani M, Ostadtaghizadeh A. Methanol Poisoning Outbreaks in Southern Iran in 2018: A Lesson Learned. Iran J Public Health. 2021 Jul;50(7):1502-1503. doi: 10.18502/ijph.v50i7.6650. PMID: 34568196; PMCID: PMC8426787.
- Methanol poisoning. DynaMed
- Liesivuori J, Savolainen H. Methanol and formic acid toxicity: biochemical mechanisms. Pharmacol Toxicol. 1991 Sep;69(3):157-63. doi: 10.1111/j.1600-0773.1991.tb01290.x. PMID: 1665561.
- Akhgari M, Panahianpour MH, Bazmi E, Etemadi-Aleagha A, Mahdavi A, Nazari SH. Fatal methanol poisoning: features of liver histopathology. Toxicol Ind Health. 2013 Mar;29(2):136-41. doi: 10.1177/0748233711427050. Epub 2011 Nov 14. PMID: 22082823.
- Ashurst JV, Schaffer DH, Nappe TM. Methanol Toxicity. 2025 Feb 6. In: StatPearls [Internet]. Treasure Island (FL): StatPearls Publishing; 2025 Jan–. PMID: 29489213.
- Camurcuoglu E, Halefoglu AM. CT and MR Imaging Findings in Methanol Intoxication Manifesting with BI Lateral Severe Basal Ganglia and Cerebral Involvement. J Belg Soc Radiol. 2022 Jul 6;106(1):66. doi: 10.5334/jbsr.2836. PMID: 35859917; PMCID: PMC9267022.
Categorias:News

