
Apesar de ser apenas o sétimo câncer mais diagnosticado no mundo, o câncer de fígado é altamente agressivo, sendo o quarto mais fatal. Isso acontece porque ele geralmente surge em pessoas com cirrose, que já é uma doença grave, e se não for diagnosticado em sua fase inicial as possibilidade de cura são pequenas.

O texto, inicialmente escrito há 20 anos para um jornal em Itatiba (SP), explica quais são os principais tipos de câncer no fígado e como fazer o diagnóstico ainda na fase precoce, onde as opções de tratamento e as possibilidades de cura são maiores.
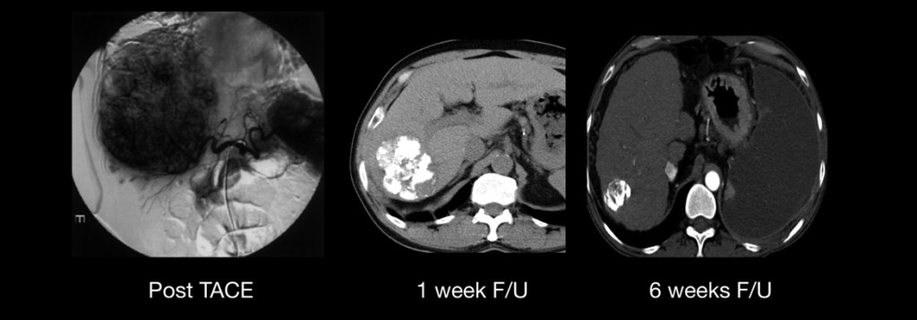
Fico feliz em dizer que, ao longo de duas décadas de atualizações no texto, tivemos um avanço realmente notável nos últimos anos. Surgiram novas modalidades de tratamento, que deixaram de ser apenas paliativos para muitas vezes ser curativos. Nos casos avançados, onde não havia praticamente nenhuma opção realmente eficaz, hoje temos imunobiológicos que podem conter o crescimento do tumor por anos. Felizmente, todas essas modalidades estão disponíveis aqui e o paciente brasileiro tem acesso ao que existe de mais moderno e eficaz recomendado por consensos científicos.

Leia mais em: câncer do fígado
Categorias:cirrose, hepatocarcinoma

