
INTRODUÇÃO
Cerca de 100 anos atrás, Osler (1898) descreveu o intumescimento crônico da mucosa gástrica devido à hipertensão portal como uma causa de gastrite. Há 87 anos, Stadelman (1913) descreveu varizes gástricas como consequência da hipertensão portal.
Após o sangramento por varizes, a mucosa gástrica é a fonte mais comum de sangramento do trato gastrointestinal alto em pacientes com cirrose e hipertensão portal1-3. A experiência do grupo de endoscopia digestiva do Gastrocentro – Unicamp confirma os dados de literatura em nosso meio (tabela 1). No passado, o sangramento gástrico mucoso nos pacientes portadores de doença hepática era atribuído a uma ampla gama de lesões incluindo “gastrite hemorrágica”, “pontos vermelhos gástricos” ou “petéquias gástricas”1-5. É agora reconhecido que lesões mucosas como estas são muito comuns nos cirróticos e são manifestações de uma entidade distinta denominada gastropatia hipertensiva portal (GHP)5-7, presente em 37% dos portadores de fibrose avançada ou cirrose hepática32, especialmente naqueles com doença mais avançada, varizes esofagogástricas e antecedente de ligadura elástica de varizes.
| Etiologia do sangramento | % |
| Varizes esofágicas | 60-65 |
| Varizes gástricas | 7 |
| Gastropatia hipertensiva portal | 5-8 |
| Úlcera péptica | 5 |
| Causa indeterminada | 10-15 |
FISIOPATOLOGIA
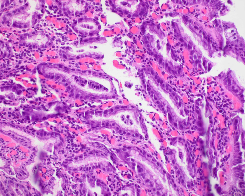
A fisiopatologia dessa condição é incompletamente compreendida. O termo “gastrite” foi usualmente utilizado para descrever o aspecto da mucosa gástrica no cirrótico, mas as biópsias não costumam apresentar processo inflamatório5,11. Os achados histológicos característicos são sugestivos de congestão vascular, com dilatação e tortuosidade das veias submucosas, ectasia dos capilares e veias mucosos5 e fibrose perivascular8,28-30. Devido às alterações vasculares na gastropatia hipertensiva portal serem predominantemente submucosas, biópsias profundas são necessárias para a demonstração histológica.

Aumento do fluxo sanguíneo gástrico total foi demonstrado na hipertensão portal experimental e em pacientes portadores de gastropatia hipertensiva portal6,12,19. Masuko e colaboradores18 demonstraram através de fluxometria doppler o stress hemocinético da mucosa gástrica na gastropatia hipertensiva portal. Tal achado pode ser explicado pela superprodução de óxido nítrico na hipertensão portal21. As mudanças mucosas parecem resultar de uma combinação do aumento do fluxo sanguíneo gástrico total, alterações na distribuição do mesmo e estase como consequência do aumento da resistência vascular portal e congestão venosa portal. O aumento da incidência da GHP após a ligadura elástica de varizes33 pode ser explicado pelo desenvolvimento de uma congestão hiperdinâmica na mucosa gástrica.

Essas alterações vasculares são relacionadas a uma gama de disfunções da mucosa gástrica que a predispõe a lesões por agentes como a aspirina, sais biliares e álcool6. A atividade secretória gástrica está diminuída19. Um dos fatores mais importantes para a aumentada sensibilidade da mucosa gástrica ao dano é uma redução na resposta hiperêmica quando essa mucosa é exposta a agentes irritantes21. Esta parece estar relacionada a uma redução na produção de prostaglandinas e alteração na resposta microcirculatória ao óxido nítrico. Uma vez que há lesão da mucosa gástrica, há aumento do fluxo sanguíneo aumentando o risco de sangramento significativo. Não foi encontrada associação entre a gastropatia hipertensiva portal e a infecção da mucosa gástrica pelo Helicobacter pylori13.

ACHADOS CLÍNICOS
A gastropatia hipertensiva portal se manifesta como hemorragia gastrointestinal alta clinicamente evidente (com hematêmese, melena ou hematoquezia) em 2 a 12% dos pacientes cirróticos, enquanto que o sangramento crônico, muitas vezes imperceptível (descoberto por anemia ou exame de sangue oculto nas fezes) ocorre entre 3 e 60% dos cirróticos. Esta ampla variação pode ser explicada pela variação no momento em que a endoscopia é realizada e na etiologia e gravidade da doença hepática nos diferentes estudos1-3,15,24. Sangramento gástrico agudo normalmente ocorre naqueles pacientes com gastropatia mais severa.

Não há correlação clara entre a severidade da gastropatia hipertensiva portal e o calibre das varizes esofágicas, o grau de disfunção hepática ou o nível da hipertensão portal5,8,20. Apesar de também ocorrer em pacientes com trombose venosa portal extra hepática, a gastropatia é encontrada menos frequentemente que naqueles com cirrose. A gastropatia hipertensiva portal é mais comum naqueles pacientes submetidos a escleroterapia de varizes5,9,23,25. Sarin, após estudar 967 pacientes submetidos a escleroterapia de varizes encontrou 74% de gastropatia hipertensiva portal, um aumento significativo em relação à frequência antes da escleroterapia, de 26%31.
ASPECTOS ENDOSCÓPICOS
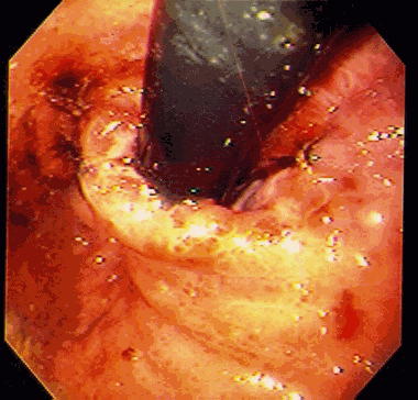
As alterações da gastropatia hipertensiva portal são mais evidentes na mucosa do corpo e fundo do estômago. Os aspectos endoscópicos incluem um padrão de eritema fino, difuso e pontilhado, rash escarlatiniforme ou o padrão conhecido como “pele de cobra” ou “mosaico”, onde se observa áreas avermelhadas, pequenas e poligonais delimitadas por bordas deprimidas e amarelo claras5-8. A gastropatia severa é caracterizada pela presença de pontos vermelho escuros ( “cherry red spots” ) e áreas de hemorragia mucosa difusa ( “gastrite hemorrágica” )5,8. Em estudos endoscópicos com grande amostragem de cirróticos assintomáticos, mais que 50 % apresentam sinais de gastropatia hipertensiva portal, sendo o achado mais comum o padrão mosaico ou em pele de cobra no estômago proximal8,9.






Em 1994, o NIEC (New Italian Endoscopic Club) propôs nova classificação para padronizar as descrições da gastropatia hipertensiva portal10. A classificação se baseia em 4 sinais endoscópicos elementares (tabela 2).
| Classificação da gastropatia hipertensiva portal (Milão –1994) |
| 1. Padrão mosaico ( mosaic-like pattern – MLP ), graduado como leve, moderado ou severo |
| 2. Marcas vermelhas ( red marks – RM ), que incluem lesões puntiformes vermelhas ( red point lesions – RPL ) e pontos vermelho cereja ( cherry red spots – CRS ) |
| 3. Pontos marrom escuros ( black Brown spots – BBS ) |


TRATAMENTO
Como não se trata de uma gastrite, o sangramento da mucosa gástrica hipertensiva portal responde pobremente ao tratamento com inibidores da bomba de próton, bloqueadores H2, antiácidos ou sucralfate9. O tratamento depende basicamente em reduzir a hipertensão portal e as complicações do sangramento.
No caso do paciente com GHP sem sangramento evidente, o propranolol reduz sangramentos ativos, reduz o risco de sangramento e melhora o aspecto endoscópico da gastropatia hipertensiva portal em cirróticos14,16, podendo ser substituído pelo carvedilol34. Quando há anemia decorrente de sangramento crônico oculto, é importante se lembrar de repor o ferro perdido com suplementação, geralmente por via oral.

Hemorragias de grande volume devem ser tratadas como hemorragia digestiva alta varicosa: ressuscitação hemodinâmica, droga vasoativa (octreotide, terlipressina ou somatostatina) e antibioticoterapia. O shunt portocava parece reduzir significativamente o risco de sangramento e é um tratamento efetivo para o sangramento agudo provocado pela gastropatia hipertensiva portal17,26, mas o procedimento está associado a um considerável risco operatório e efeitos colaterais a longo prazo22, sendo proscrito da prática clínica. Casos refratários podem ser tratados reduzindo a hipertensão portal através da colocação de um shunt portossistêmico transjugular intra-hepático (TIPS)27 em pacientes sem encefalopatia e função hepática adequada. O transplante, quando bem indicado, é uma opção terapêutica efetiva.
BIBLIOGRAFIA
- Thomas E, Rosenthal WD, Rymer W e Katz D. Upper gastrointestinal haemorrhage in patients with alcoholic liver disease and oesophageal varices. American Journal of Gastroenterology, 1977; 72:623-9.
- Mitchell CJ e Jewell DP. The diagnosis of the site of upper gastrointestinal haemorrhage in patients with portal hypertension. Endoscopy, 1977; 9:131-5.
- Mitchell KJ, MacDougall BRD, Silk DBA e Williams R. A prospective reappraisal of emergency endoscopy in patients with portal hypertension. Scandinavian Journal of Gastroenterology, 1982; 17:965-8.
- Rector WG e Reynold TB. Risk factors for haemorrhage from oesophageal varices and acute gastric erosions. Clinics in Gastroenterology, 1985; 14:139-53.
- McCormick TT et al. Gastric lesions in portal hypertension; inflammatory gastritis or congestive gastropathy. Gut, 1985; 26:1226-32.
- Sarfeh IJ e Tarnawski A. Gastric mucosal vasculopathy in portal hypertension. Gastroenterology, 1987; 93:1129-31.
- Baxter J e Dobbs B. Portal hypertensive gastropathy. Journal of Gastroenterology and Hepatology, 1988; 3:635-44.
- Viggiano TR e Gostout CJ. Portal hypertensive intestinal vasculopathy: a review of the clinical, endoscopic and histological features. American Journal of Gastroenterology, 1992; 87:944-54.
- Papazian A et al. Portal hypertensive gastric mucosa: an endoscopic study. Gut, 1986; 27:1199-203.
- Spina GP et al. Gastric endoscopic features in portal hypertension: final report of a consensus conference, Milan, Italy, September, 1992. Journal of Hepatology, 1994; 21:461-7.
- Brown RS et al. Gastritis and cirrhosis – no association. Journal of Clinical Pathology, 1981; 134:744-8.
- Ohta M et al. Portal and gastric mucosal haemodynamics in cirrhotic patients with portal hypertensive gastropathy. Hepatology, 1994; 20:1432-6.
- Fraser AG, Pounder RE e Burrough AK. Gastric secretion and peptic ulceration in cirrhosis. Journal of Hepatology, 1993; 19:171-82.
- Hosking SW, Kennedy HJ, Seddon I e Triger DR. The role of propranolol in congestive gastropathy of portal hypertension. Hepatology, 1987; 7:437-41.
- Primignani M et al. Natural history of portal hypertensive gastropathy in patients with liver cirrosis. Gastroenterology, 2000; 119:181-7.
- Pérez-Ayuso RM et al. Propranolol in prevention of recurrent bleeding from severe portal hypertensive gastropathy in cirrhosis. Lancet 1991; 337:1431-34.
- Orloff MJ, Orloff MS, Orloff SL e Haynes KS. Treatment of bleeding from portal hypertensive gastropathy by portocaval shunt. Hepatology, 1995; 21:1011-7.
- Masuko E et al. Rheologic analysis of gastric mucosal hemodynamics in patients with cirrhosis. Gastrointestinal endoscopy, 1999; 3:371-9.
- Toyonaga A e Iwao T. Portal-hypertensive gastropathy. J Gastroenterol Hepatol, 1998; 13(9):865-77.
- Oberti F et al. Gastroesophageal endoscopic signs of cirrosis: independent diagnostic accuracy, interassociation, and relationship to etiology and hepatic dysfunction. Gastrointestinal endoscopy, 1998; 48(2):148-57.
- Ferraz JG, Wallace JL. Underlying mechanisms of portal hypertensive gastropathy. J Clin Gastroenterol, 1997; 25:S73-8.
- Bernstein DE e Phillips RS. Portal hypertensive gastropathy. Gastrointest Endosc Clin N Am, 1996; 6:697-708.
- Hou MC et al. Changes in portal hypertensive gastropathyafter endoscopic variceal esclerotherapy or ligation: an endoscopic observation. Gastrointestinal endoscopy, 1995; 42(2):139-44.
- Gostout CJ, Viggiano TR e Balm RK. Acute gastrointestinal bleeding from portal hypertensive gastropathy: prevalence and clinical features. Am J Gastroenterol, 1993; 88(12):2030-33.
- Tanoue K et al. Effects of endoscopic injection sclerotherapy on portal hypertensive gastropathy:a prospective study. Gastrointestinal Endoscopy, 1992; 38(5):582-5.
- Conn HO. Emergency portocaval anastomosis in portal hypertensive gastropathy: another piece of the puzzle. Hepatology, 1995; 21(4):1011-7.
- Simpson KJ et al. Transjugular intrahepatic portasystemic stent shunting for control of acute and recurrent upper gastrointestinal haemorrhage related to portal hypertension. Gut, 1993; 34:968-73.
- Albillos A, Colombato LA, Enriquez R, et al. Sequence of morphological and hemodynamic changes of gastric microvessels in portal hypertension. Gastroenterology 1992;102:2066-70.
- Misra V, Misra SP, Dwivedi M. Thickened gastric mucosal capillary wall: A histological marker of portal hypertension. Pathology 1998;30:10-3.
- Gostout CJ, Carpenter HA. Portal hypertensive vasculopathy and mucosal vascular ectasias. Gastroenterology 1995;109:333.
- Sarin SK, Shahi HM, Jain M et al. The natural history of portal hypertensive gastropathy: Influence of variceal eradication. Am J Gastroenterol, 2000; 95:2888-93.
- Fontana RJ, Sanyal AJ, Mehta S, Doherty MC, Neuschwander-Tetri BA, Everson GT, Kahn JA, Malet PF, Sheikh MY, Chung RT, Ghany MG, Gretch DR; HALT-C Trial Group. Portal hypertensive gastropathy in chronic hepatitis C patients with bridging fibrosis and compensated cirrhosis: results from the HALT-C trial. Am J Gastroenterol. 2006 May;101(5):983-92. doi: 10.1111/j.1572-0241.2006.00461.x. PMID: 16573786.
- Sarin SK, Sreenivas DV, Lahoti D, Saraya A. Factors influencing development of portal hypertensive gastropathy in patients with portal hypertension. Gastroenterology. 1992 Mar;102(3):994-9. doi: 10.1016/0016-5085(92)90188-5. PMID: 1537536.
- Rockey DC. Portal hypertensive gastropathy. Uptodate. Accessado 28/08/2023
Artigo criado em 2002
Última revisão em: 29/08/2023

